
Medic Antalya - Soins dentaires Haut de gamme
Medic Antalya
Chez Medic Antalya, notre objectif est d'aider les gens du monde entier à obtenir le sourire de leurs rêves à des prix abordables. Nous y parvenons en utilisant les dernières technologies et des matériaux de la plus haute qualité en dentisterie.
Grâce à nos 25 années d'expérience dans le domaine, nous pouvons répondre aux divers besoins et souhaits de nos patients. Nous nous engageons à offrir des services d’élite à nos patients des quatre coins du monde.
★Points forts
- Rapport qualité prix
- Marques haut de gamme
- Clinique moderne
- Approche conservatrice
★Points forts
- Rapport qualité prix
- Marques haut de gamme
- Clinique moderne
- Approche conservatrice
Meilleures offres
À propos
CLINIQUE DENTAIRE MEDIC ANTALYA
La CLINIQUE DENTAIRE MEDIC ANTALYA est composée de médecins dentistes spécialistes, dédiés à l'utilisation des technologies les plus récentes et des matériaux de la plus haute qualité en dentisterie. Avec nos 25 ans d'expérience, nous offrons des services exclusifs à une clientèle internationale, répondant à tous leurs besoins et désirs dentaires.
Traitement Dentaire en Turquie et ses Avantages
La Turquie, et en particulier Antalya, propose des traitements dentaires, y compris des implants et traitements des maladies des gencives, des procédures chirurgicales, et de l'esthétique dentaire, tous conformes aux normes européennes. Nos médecins expérimentés, constamment en formation, offrent des soins dentaires de premier ordre à des patients du monde entier, en particulier d'Europe, soutenus par de nombreux clients satisfaits et des références.
Recevoir un traitement dentaire à Antalya, célèbre destination de vacances, offre également la chance de vivre un voyage magnifique. Pendant leur traitement, les patients peuvent profiter des belles plages, des sites historiques et des paysages époustouflants de la région, avec la possibilité de séjourner dans des hôtels 5 étoiles, faisant d'Antalya un lieu idéal pour combiner traitement et vacances.
De plus, le coût des traitements dentaires en Turquie est nettement inférieur à celui de l'Europe, faisant de MEDIC ANTALYA un choix idéal pour ceux qui recherchent un tourisme de santé abordable et de haute qualité.
Processus de Service de Traitement Dentaire chez MEDIC ANTALYA
Notre processus implique des consultations initiales avec nos médecins spécialistes par e-mail, téléphone ou support en ligne. Fournir des photos ou des images radiographiques aide nos médecins à établir un diagnostic précis. Vous recevrez rapidement un avis, un diagnostic et une proposition de coût.
Après avoir finalisé les dates de traitement avec nos médecins, les discussions avec nos consultants en tourisme concernant les détails de voyage et d'hébergement sont essentielles. Nous couvrons les transferts aéroport et clinique-hôtel, et notre équipe maîtrise l'anglais et l'allemand.
Photos de la clinique
17







Notre équipe médicale
Des professionnels qualifiés à votre service

Dt. Ishak CAN
Né en 1973 à Samsun, en Turquie, Dt. Ishak CAN est diplômé en médecine dentaire de la Faculté de médecine dentaire de l'Université Hacettepe d'Ankara. Il a déménagé à Antalya pour débuter sa carrière, travaillant dans de grandes cliniques dentaires multidisciplinaires et traitant des patients de diverses cultures du monde entier.
Spécialisé en Smile Design et en prothèses dentaires, Dt. Can a participé à de nombreux cours et séminaires nationaux et internationaux en dentisterie prothétique. Son dévouement à un service personnalisé et sa nature calme lui ont valu la popularité et la fidélité de ses patients.
Passionné de moto depuis 2004, il a suivi des formations avancées, devenant instructeur international certifié par la ROSPA (Société Royale pour la Prévention des Accidents) et instructeur de moto de première classe avec licence TMF (Fédération turque de motocyclisme).
Il continue sa pratique dentaire à MEDIC ANTALYA, offrant une vaste gamme de soins dentaires de qualité, tout en poursuivant son enseignement de la conduite de moto sûre et avancée.
Dt. Can a voyagé à travers la Turquie, la Géorgie, la Russie, le Kazakhstan, la Chine, le Pakistan et le Népal, et a également exploré des pays comme l'Inde, les États-Unis, la Bulgarie, la Roumanie, la Slovénie, la République tchèque et la Pologne, participant à divers événements et festivals de moto.

Dt. Işın ÇAYIR
Elle a terminé ses études universitaires à la Faculté de Chirurgie Dentaire de l'Université Süleyman Demirel en 2015. En 2016, elle a commencé sa spécialisation en traitement dentaire restaurateur, recevant diverses formations sur le Design du Sourire Numérique (DSD), les restaurations en Laminate Veneer et en Composite Esthétique.
Elle a présenté sa thèse de spécialité sur la santé publique, le risque de caries et la prophylaxie individuelle en 2019, obtenant le titre de Docteur Spécialiste. De 2019 à 2021, elle a travaillé à l'Hôpital de Santé Orale et Dentaire de Konya en tant que Docteur Spécialiste.
En 2021-2022, elle a été Professeur Adjoint au Département de Traitement Dentaire Restaurateur à la Faculté de Chirurgie Dentaire de l'Université Bilim d'Antalya, donnant des conférences sur les restaurations composites esthétiques et les systèmes adhésifs.
Depuis le début de sa vie professionnelle, elle a participé à de nombreux congrès internationaux et nationaux. Elle a publié de nombreuses publications dans le domaine de la dentisterie esthétique et cosmétique dans des revues internationales. Dt. Işın propose toujours à ses patients les options de traitement les plus précises et adéquates grâce à ses compétences et sa perspective académique en dentisterie minimalement invasive et esthétique.
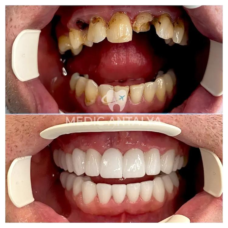
Résultats Avant / Après
Découvrez les transformations de nos patients
Facettes Dentaires
(21)




















Couronnes Dentaires
(13)












Liste d'opérations et prix - Medic Antalya
| Soins Dentaires | Sans hôtel | Avec Hôtel | Actions |
|---|---|---|---|
All-On-4 | 3750 € | 3750 € | Devis |
All-On-6 | 4800 € | 4800 € | Devis |
Couronnes Dentaires | 150 € | 150 € | Devis |
Couronnes Emax | 250 € | — | Devis |
Couronnes Zircones | 185 € | 185 € | Devis |
Facettes Dentaires | 250 € | — | Devis |
Facettes Emax | 250 € | — | Devis |
Facettes Pelliculaires | 250 € | — | Devis |
Hollywood Smile | Dès3700 € | Dès3700 € | Devis |
Implants Bego | 480 € | — | Devis |
Implants Dentaires | 480 € | — | Devis |
Implants Straumann | Dès900 € | — | Devis |
Pack 16 Couronnes | Dès3340 € | Dès3340 € | Devis |
Pack 16 Facettes-385 € | 3520 €3135 € | 3845 €3460 € | Devis |
Pack 20 Couronnes-470 € | 4170 €3700 € | 4170 €3700 € | Devis |
Pack 20 Facettes-470 € | 4375 €3905 € | 4700 €4230 € | Devis |
Pack 8 Couronnes | Dès1600 € | Dès1990 € | Devis |
Pack 8 Facettes | Dès1750 € | Dès2075 € | Devis |
Reconstruction Totale | Dès7400 € | Dès7400 € | Devis |





