
All On 4 reconstruction complète sur 4 implants
La Technique Dentaire All-on-4
L'All-on-4 est une technique dentaire de reconstruction totale de la mâchoire sur 4 implants sur lesquelles est fixée une prothèse fixe qui remplace toutes les dents de la machoire .
All-On-4 en détails
All-On-4
Tarifs
A propos
4 implants et 12 dents par mâchoire
All on 4 sur le haut et le bas
La procédure ALL ON 4 est la procédure de réhabilitation complète qui utilise le moins d’implants par mâchoire. Comme son nom l’indique, 4 implants sont placés dans l’os de la mâchoire afin de soutenir une prothèse complète qui est en générale transvissée dans les implants. Les prothèses transvissées sont des prothèses attachées aux implants par des vis au lieu d’être collées sur les piliers d’implants.
À différence des procédures ALL ON 6, la prothèse est une prothèse complète qui passe au-dessus de la gencive. Il ne s’agit donc pas de couronnes uniquement.
Les prothèses transvissées ainsi que la solution ALL ON 4 est à privilégier dans le cas ou très peu d’os reste, en particulier sur les deuxièmes prémolaires et sur les molaires, la ou sont placées en général les implants dentaires supplémentaires des solutions ALL ON 6.
On privilégie donc cette procédure pour les raisons suivantes :
-Manque d’os pour placer plus d’implants endo-osseux.
-Eviter les greffes osseuses
-Motivation financière , la solution ALL ON 4 est moins cher que les autres solutions.
Avantages de l'All-on-4
- Restauration complète de la machoire en une seule procédure.
- Récupération rapide par rapport à d'autres techniques dentaires.
- Pas de greffe osseuse
- Amélioration de l'esthétique faciale.
Inconvénients de l'All-on-4
- Prothèse souvent plus grosse
- La prothèse couvre un peu la gencive dans la plupart des cas
- Des ajustements mineurs peuvent être nécessaires au fil du temps.
Combien de temps pour un all on 4?
2 voyages seront nécessaires pour finir le traitement en raison de l’attente pour l’ostéointégration
-Le premier voyage est de 3 jours ouvrés. *
-Le deuxième voyage est de 5 jours ouvrés.*
Un période de 4 à 6 mois est requise entre les voyages.
*Le temps exact de chaque voyage et l’attente entre les deux doit être vu avec le stomatologue.
Un ALL ON 4 est réalisé en 6 mois au total.
Marques d'Implants en ALL ON 4
Les implants dentaires pour les ALL ON 4 sont souvent usinés expressément pour les ALL ON 4. Ils sont souvent différends des implants standards. Les marques de renommée mondiale tels que Nobel Biocare, Alpha Bio, Bego, Strauman, Dio et bien d'autres sont les plus souvent utilisées. Ces marques sont réputées pour leur qualité et leur durabilité, garantissant ainsi des résultats sur le long terme
FAQ
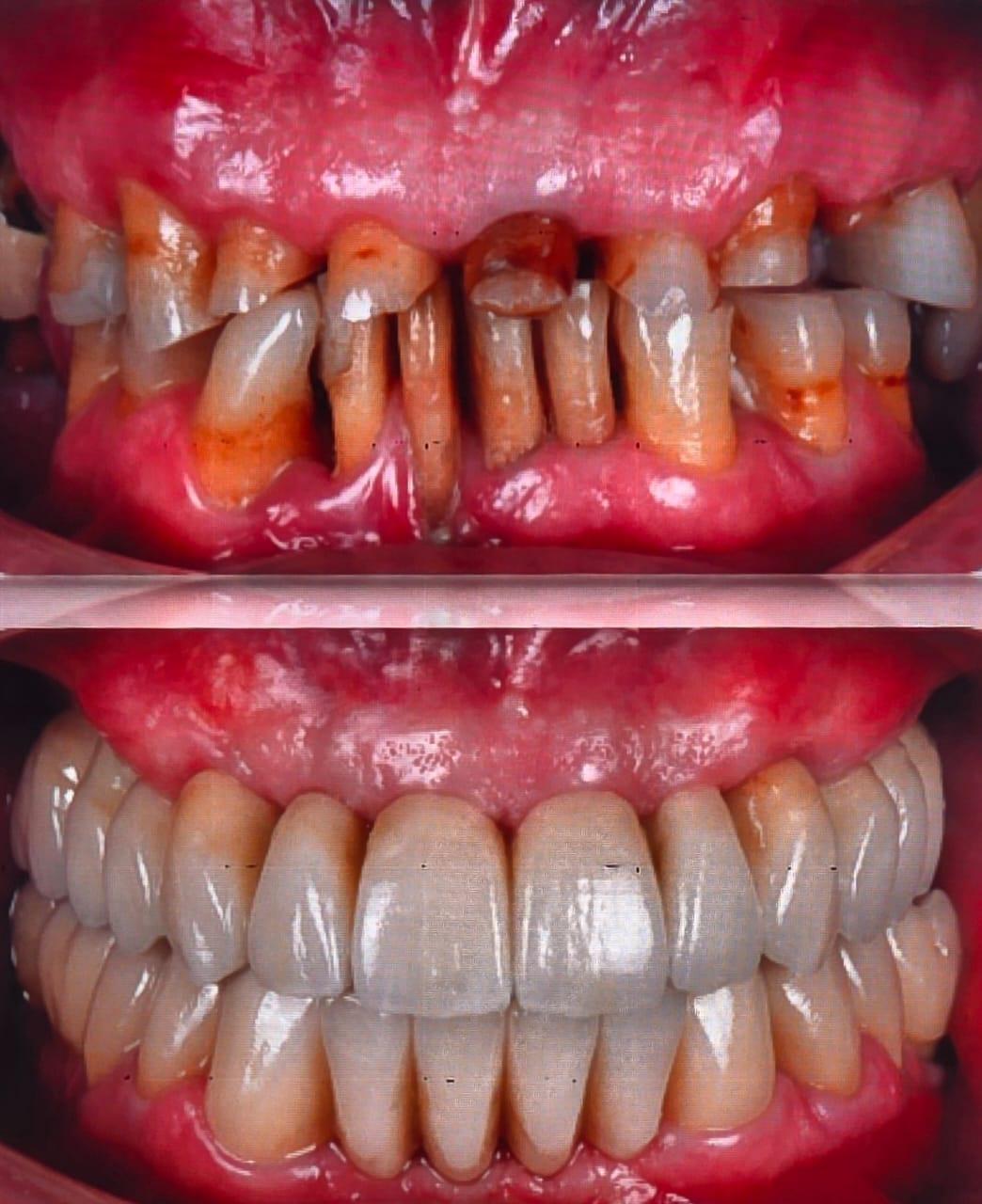
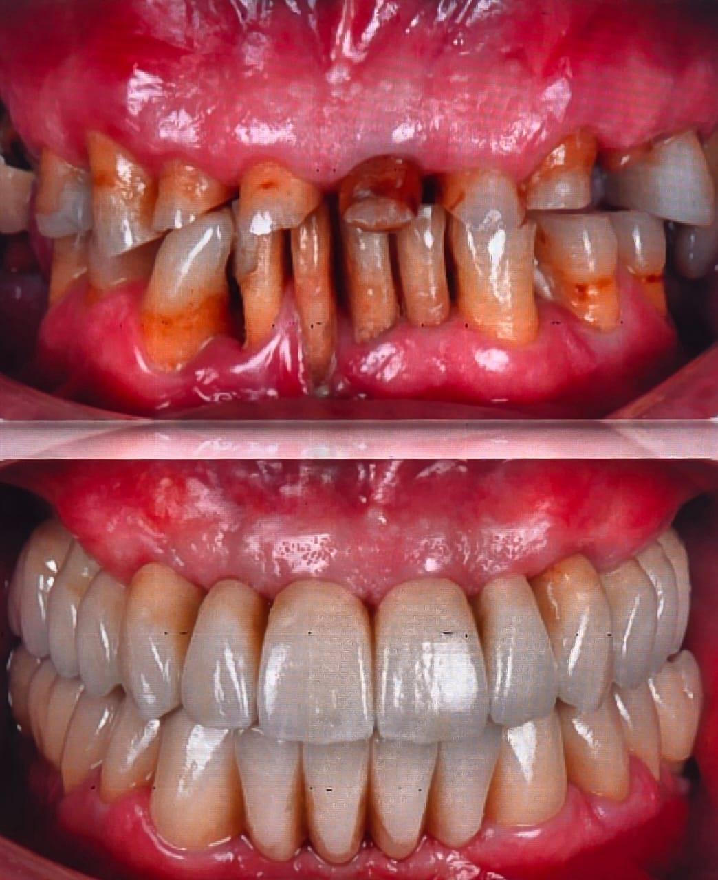
Résultats Avant / Après
Découvrez les transformations de nos patients






.png&w=1920&q=75)


.png&w=1920&q=75)
























Résultats Avant / Après






.png&w=1920&q=75)
