
Couronnes Zircones , Avantages des couronnes zircones, restauration dentaire naturelle
Les couronnes dentaires en zircone sont des restaurations dentaires populaires et esthétiques utilisées pour couvrir des dents endommagées ou décolorées. La zircone est un matériau céramique durable et résistant qui offre une apparence naturelle et une excellente fonctionnalité.
Couronnes Zircones en détails
Couronnes Zircones
Tarifs
A propos
Définition de la couronne Zircone
Les couronnes dentaires en zircone sont des prothèses dentaires fabriquées à partir de zircone, un matériau céramique utilisé en dentisterie pour sa solidité et sa biocompatibilité. Elles sont conçues sur mesure pour s'adapter parfaitement à la forme et à la couleur des dents naturelles.
Types de zircones
Il existe différents types de zircones utilisées dans la fabrication des couronnes dentaires :
- Zircone monolithique : une seule pièce de zircone sans couche de céramique.
- Zircone stratifiée : une couche de céramique est appliquée sur la zircone pour obtenir une apparence plus esthétique.
- Zircone translucide : une zircone spécialement conçue pour imiter la translucidité des dents naturelles.
Résistance des couronnes en zircone
Les couronnes dentaires en zircone offrent une résistance exceptionnelle, ce qui en fait un choix durable et fiable pour la restauration des dents. Elles sont capables de résister aux forces masticatoires normales et de maintenir leur intégrité structurelle sur le long terme.
La résistance des couronnes Zircone monobloc peuvent soutenir une pression de 1400 Kg/cm2. La pression de la mâchoire humaine est de l’ordre de 60 à 70 KG/cm2 pour comparaison. La résistance de la couronne zircone excède largement la pression de la mâchoire.
Toutes les couronnes zircones ne sont pas aussi résistantes que les couronnes zircones monobloc, mais elles dépassent toutes largement la force de mastication humaine.
le choix des teintes

Nuancier Vita pour couronnes zircones
Les couronnes en zircone sont disponibles dans un large éventail de teintes pour s'harmoniser parfaitement avec les dents adjacentes et assurer un résultat esthétique naturel. Les dentistes peuvent choisir la teinte appropriée en fonction des besoins spécifiques du patient.
Marques de zircone dentaire
Plusieurs marques réputées fabriquent du zircone dentaire de haute qualité, notamment :
- Straumann
- Nobel
- Ivoclar
- Vita
Processus CAD CAM
Scanner Intra Oral
Le processus de fabrication des couronnes en zircone implique souvent l'utilisation de la technologie CAD CAM (Conception et Fabrication Assistées par Ordinateur). Ce processus permet de concevoir numériquement la couronne et de la fabriquer avec précision à l'aide d'une fraiseuse automatisée. Les mesures dans la bouche sont prises grace à un scanner intra oral qui numérise en 3d le support qui va recevoir la couronne en Zircone.
Fabrication sur ordinateur
Les couronnes sont ensuite conçues numériquement et imprimer dans l'équivalent d'une imprimante 3D spécifique
Les avantages des couronnes zircones
Couronnes résistantes sans métal
Pas d'effet opaqueReflexion de la lumière
pas de coloration de la gencive ( liseré gris)
Les couronnes en zircone sont très résistantes et durables, en même temps que de présenter des avantages esthétiques largement supérieures aux couronnes céramo-métalliques. Ceci les rendent idéales pour des restaurations fonctionnelles et esthétiques. On peut réaliser des restaurations dentaires de dents qui subissent une pression importante au quotidien, que ce soit des prémo-molaires ou des incisives et canines.
FAQ
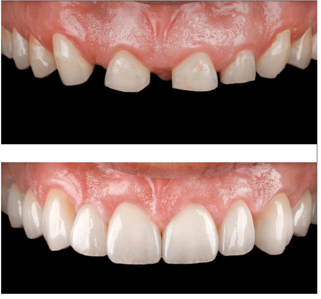
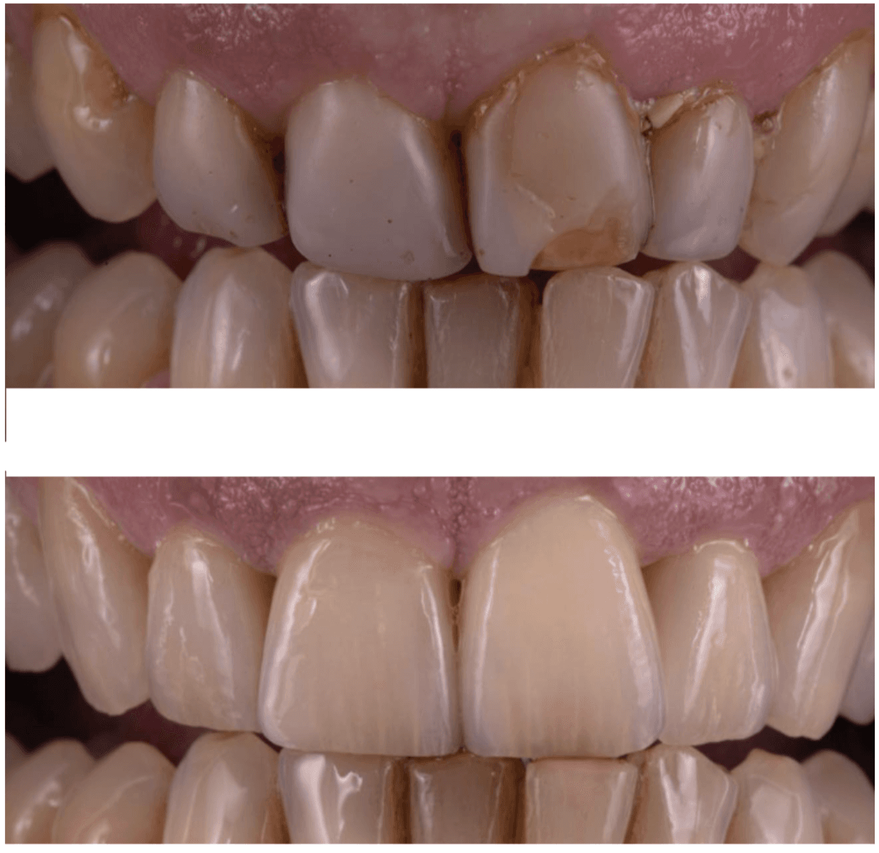
Résultats Avant / Après
Découvrez les transformations de nos patients






.jpeg&w=1920&q=75)
.jpeg&w=1920&q=75)


.png&w=1920&q=75)






.jpeg&w=1920&q=75)
.jpeg&w=1920&q=75)


.png&w=1920&q=75)






.jpeg&w=1920&q=75)

.png&w=1920&q=75)





.jpeg&w=1920&q=75)

.png&w=1920&q=75)




.jpeg&w=1920&q=75)

.png&w=1920&q=75)




.jpeg&w=1920&q=75)

.png&w=1920&q=75)







.png&w=1920&q=75)








.png&w=1920&q=75)

























































Résultats Avant / Après






.jpeg&w=1920&q=75)