
Les facettes dentaires sont une solution esthétique populaire pour améliorer l'apparence de votre sourire. Dans cette section, nous vous présenterons spécifiquement les facettes emax, qui offrent des caractéristiques distinctes par rapport aux autres types de facettes dentaires.
Facettes Emax en détails
Facettes Emax
Tarifs
A propos
Définition
Les facettes emax sont des revêtements minces en céramique de haute qualité, fabriqués à partir d'un matériau en disilicate de lithium. Ce matériau offre une résistance et une esthétique exceptionnelles, permettant de créer des facettes dentaires très réalistes et durables.
Facettes Emax
Caractéristiques des facettes Emax :
- Revêtement mince en céramique de haute qualité
- Fabriquées à partir de disilicate de lithium
- Résistantes et esthétiques
- Créent un aspect naturel et harmonieux
- Nécessitent une préparation minimale des dents
De plus, les couches de céramique sont extrêmement minces,
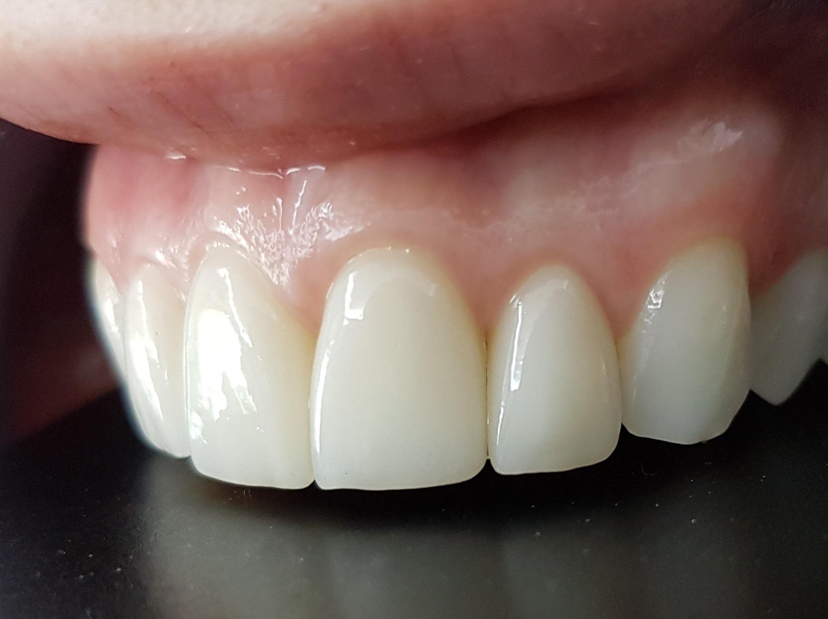
En dentisterie moderne, l’E.Max est considéré comme l’ultime génération de céramique dentaires, pour la fabrication de facette et de couronnes. La facette qui vous sera posée sera réalisée à partir de céramique uniquement, et sera homogène. La teinte que vous voyez sera exactement la même teinte que vous aurez en souriant. Ce type de facette ne possède aucune structure métallique, la structure interne de cette facette est exactement de la même couleur que l’extérieur visible.
Quand choisir une facette Emax?
Les facettes emax sont recommandées dans les cas où vous souhaitez corriger des problèmes esthétiques dentaires tels que :
- Dents ébréchées ou fissurées
- Taches ou décoloration dentaire persistante
- Espaces entre les dents
- Dents légèrement mal alignées ou irrégulières
- Remplacement d’une ancienne couronne inesthétique
- Forme inésthétique d'une dent Dents trop petites

Anesthésie
Lors de la pose des facettes emax, une anesthésie locale est généralement administrée pour assurer votre confort pendant l'intervention. Votre dentiste veillera à ce que vous ne ressentiez aucune douleur pendant le processus.
La pose de facette Emax
Les étapes de la pose des facettes Emax:
Consultation initiale avec le dentiste pour évaluer votre cas spécifique et discuter de vos attentes.
Préparation des dents en retirant une fine couche d'émail pour permettre la pose des facettes.
Prise d'empreintes dentaires pour la fabrication des facettes emax sur mesure.
Essayage et ajustement des facettes pour garantir un ajustement parfait et une esthétique optimale.
Fixation définitive des facettes emax sur les dents à l'aide d'une résine spéciale.
Ce processus se déroule en quelques jours.
Taille de la dent avec la facette Emax ?
Dans le cadre de pose de facettes dentaires, la question de la taille de la dent est très importante. Beaucoup de patients souhaitent réaliser des facettes, mais ne souhaitent pas tailler leurs dents et souhaitent donc un processus reversible.
Concernant la taille de la dent, il faut absolument comprendre l'équilibre entre le besoin de poser une prothèse stable et résistantes et le besoin de tailler la dent le moins possible.
Si la dent naturelle est très bien positionnée (pas de problème d'occlusion, ou de problème orthodontique), alors la taille de la dent peut être minime. On appel cela une "préparation minimale".
Si l'occlusion est problématique, et/ou des problèmes orthodontiques doivent être corrigés, alors il est impossible de réaliser des facettes avec une préparation minimale.
-Voir nos articles sur les facettes pelliculaires-
Les facettes Emax peuvent bénéficier des préparations minimales, cependant cela n'est absolument pas applicables dans tous les cas. Il est fortement conseillé d'envoyer vos photos pour une diagnostic sur la faisabilité de facettes à préparation minimale.
Durée de la pose
La pose des facettes emax peut être réalisée en deux à 3 séances réparties sur 4 à 10jours selon les cliniques et en fonction de la complexité de votre cas. Chaque séance dure généralement entre une et deux heures, selon le nombre de facettes à poser.
Résultats et entretien sur le long terme
Les facettes emax offrent des résultats esthétiques exceptionnels, donnant l'apparence de dents naturelles et harmonieuses. Ces facettes sont résistantes aux taches et conservent leur éclat pendant de nombreuses années avec un entretien approprié.
Pour préserver l'apparence et la durabilité de vos facettes emax, il est essentiel de maintenir une bonne hygiène bucco-dentaire en vous brossant les dents régulièrement, en utilisant du fil dentaire et en effectuant des visites régulières chez votre dentiste.
Convalescence
La convalescence après la pose des facettes Emax est généralement rapide. Vous pourrez reprendre vos activités normales dès la fin de l'intervention. Cependant, il est recommandé d'éviter de consommer des aliments durs ou collants qui pourraient endommager les facettes nouvellement posées.
FAQ
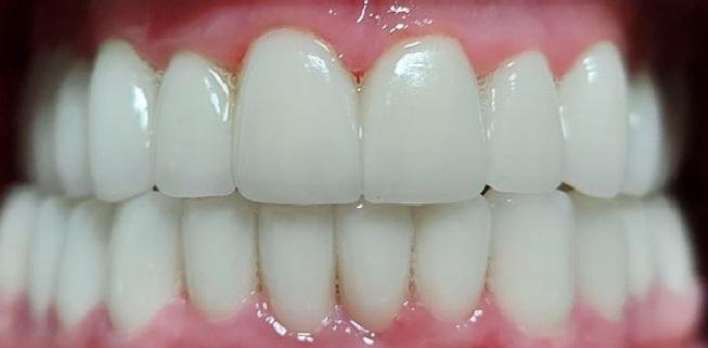
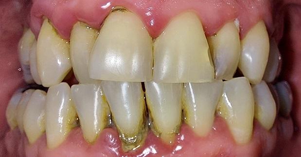
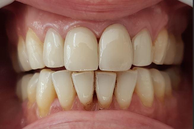
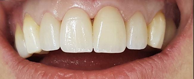
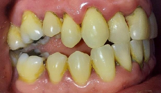
Résultats Avant / Après
Découvrez les transformations de nos patients






.jpeg&w=1920&q=75)







.jpeg&w=1920&q=75)






.jpeg&w=1920&q=75)





.png&w=1920&q=75)





.png&w=1920&q=75)
.jpeg&w=1920&q=75)





.jpeg&w=1920&q=75)




.jpeg&w=1920&q=75)









.jpeg&w=1920&q=75)



.jpeg&w=1920&q=75)



.jpeg&w=1920&q=75)









Résultats Avant / Après






.jpeg&w=1920&q=75)