
On parle d' "Hollywood Smile" lorsque l'on réalise un sourire complet généralement de 16 à 20 facettes ou couronnes.
On peut choisir la teinte de blanc avec votre dentiste et on corrige les problèmes de formes et placements des dents.
Les matériaux utilisés sont généralement le Emax et le Zircone.
Hollywood Smile en détails
Hollywood Smile
Tarifs
A propos
Hollywood Smile: Transformez votre Sourire!
Le Hollywood smile, une métamorphose du sourire grâce à l'utilisation de 16 à 20 facettes Emax ou couronnes en zircone. Ces matériaux de pointe offrent une esthétique remarquable et une résistance impressionnante, garantissant ainsi un sourire à la fois éclatant et durable.
Avec les facettes Emax, vous bénéficierez d'une solution minimalement invasive, conçue pour améliorer la forme, la taille et la couleur de vos dents, tout en préservant leur structure naturelle. Les couronnes en zircone, quant à elles, offrent une alternative tout aussi esthétique, avec l'avantage supplémentaire d'une résistance et d'une durabilité accrues, idéales pour ceux qui cherchent à restaurer des dents plus endommagées ou à obtenir un sourire parfaitement aligné.
FAQ
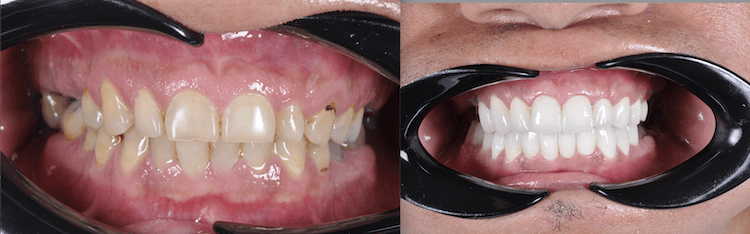
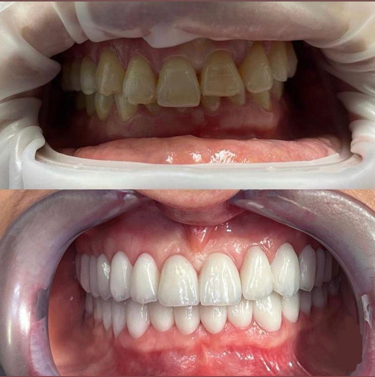
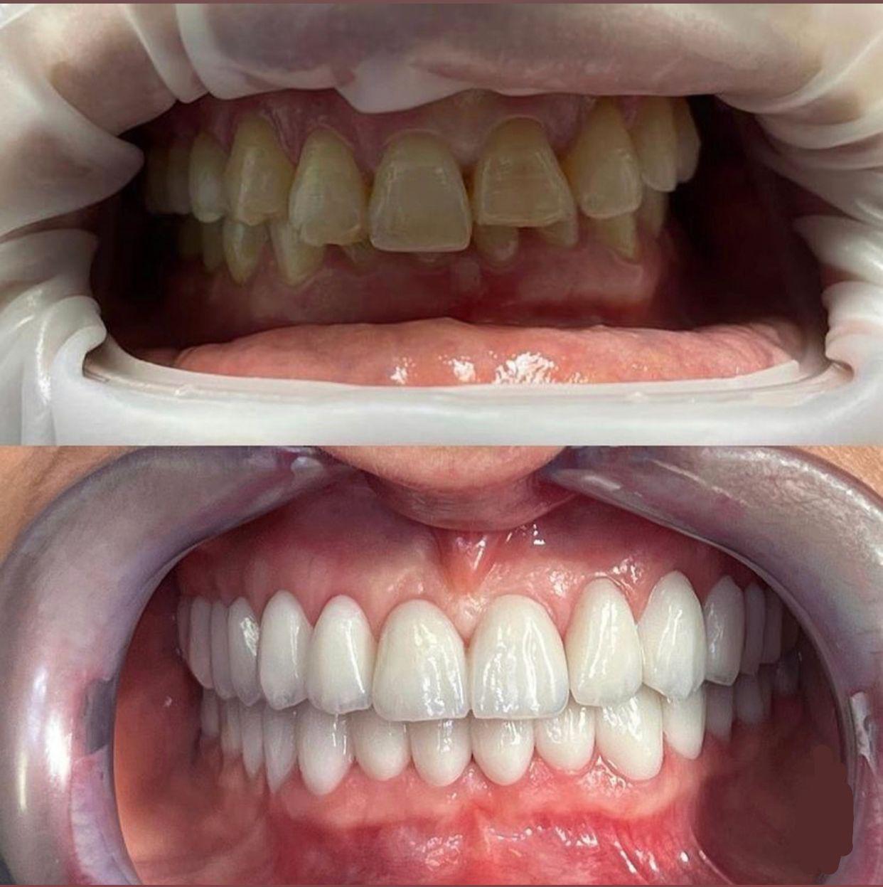
Résultats Avant / Après
Découvrez les transformations de nos patients




.jpeg&w=1920&q=75)

.png&w=1920&q=75)




.jpeg&w=1920&q=75)
.jpeg&w=1920&q=75)





.jpeg&w=1920&q=75)





.jpeg&w=1920&q=75)




.jpeg&w=1920&q=75)
.jpeg&w=1920&q=75)



.jpeg&w=1920&q=75)
.jpeg&w=1920&q=75)




.jpeg&w=1920&q=75)



.jpeg&w=1920&q=75)
.jpeg&w=1920&q=75)



.jpeg&w=1920&q=75)







.jpeg&w=1920&q=75)















Résultats Avant / Après




.jpeg&w=1920&q=75)

.png&w=1920&q=75)
