
Implants Straumann en détails
Implants Straumann
Tarifs
A propos
Les Implants Straumann
Straumann est une entreprise suisse réputée dans le domaine des solutions dentaires. Fondée en 1954, elle est une figure leader en matière d'innovation et de qualité. Straumann est connue pour avoir un taux de succès de plus de 98 % pour ses implants dentaires, l'un des taux les plus élevés de l'industrie. Leur gamme de produits est vaste et comprend des implants en titane et en céramique, ainsi que des solutions pour le remplacement d'une seule dent, de plusieurs dents ou de toutes les dents. Les implants Straumann sont fabriqués à partir de matériaux de haute qualité et bénéficient de technologies avancées comme le revêtement Roxolid® pour une meilleure osseointégration.
FAQ
Résultats réels
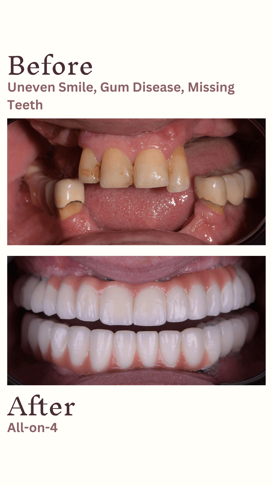
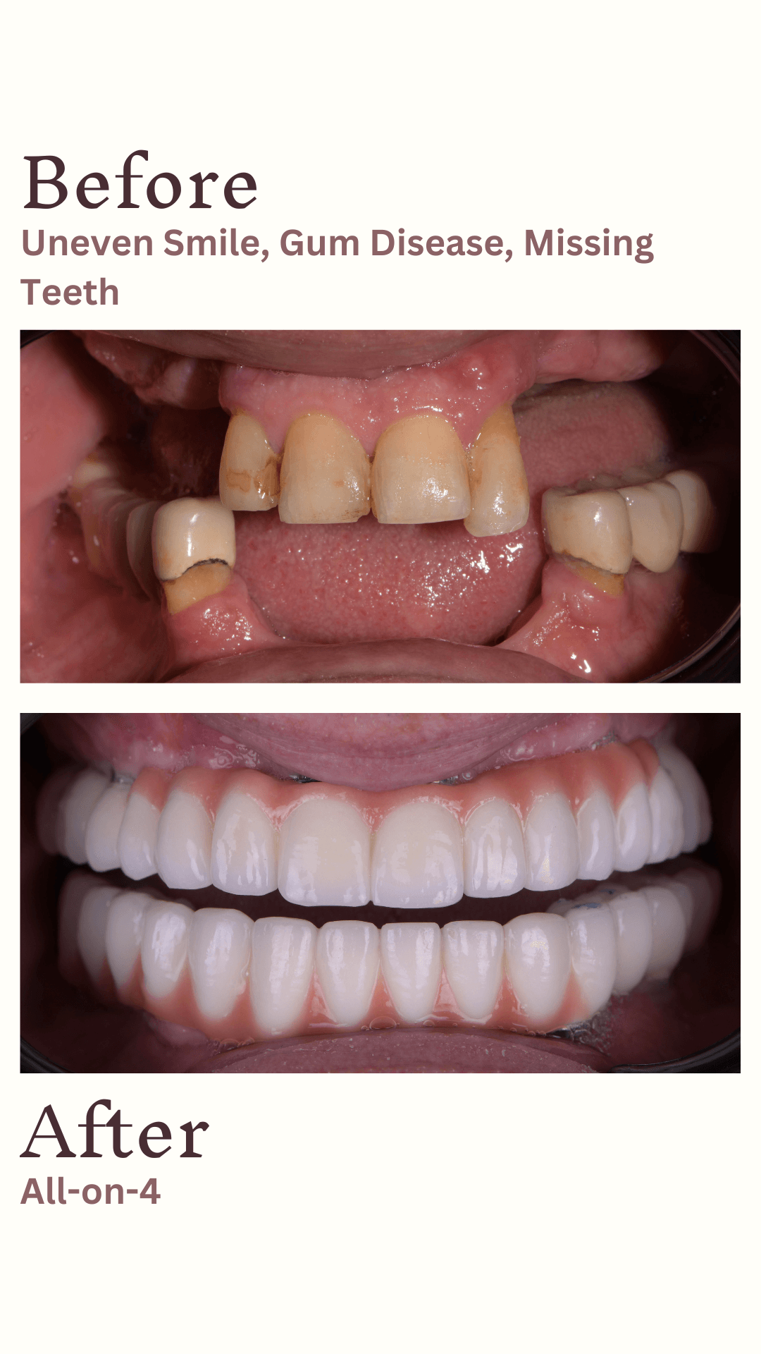
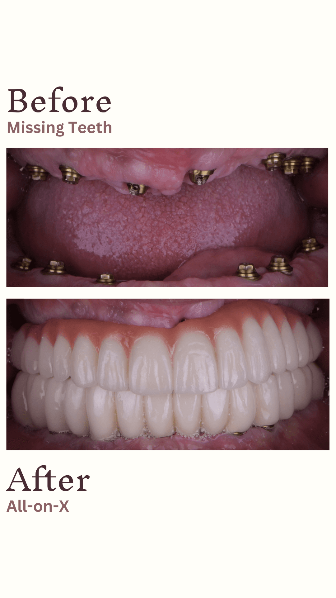
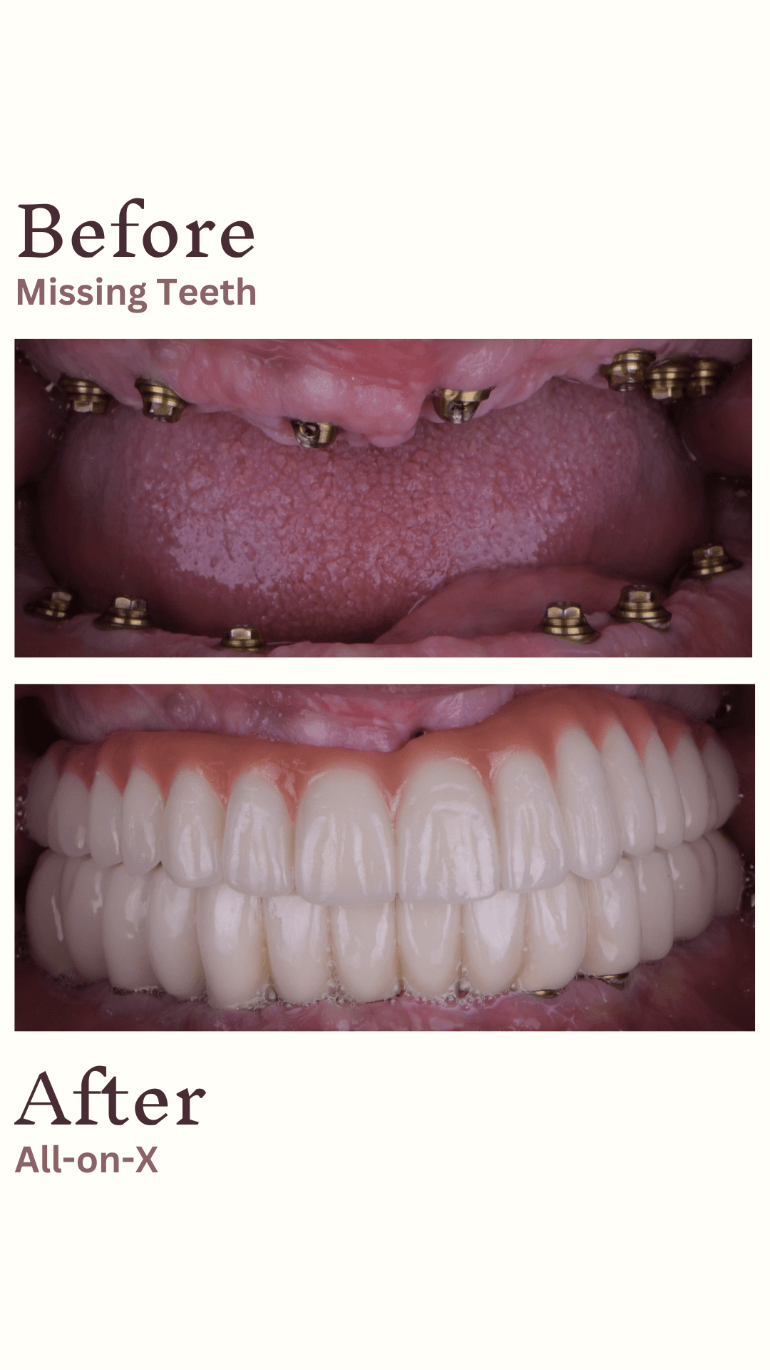
Résultats Avant / Après
Découvrez les transformations de nos patients
AVANTAPRÈS
Implants Straumann

AVANTAPRÈS
Implants Straumann
AVANTAPRÈS
Implants Straumann

AVANTAPRÈS
Implants Straumann
AVANTAPRÈS
Implants Straumann

AVANTAPRÈS
Implants Straumann
AVANTAPRÈS
Implants Straumann

AVANTAPRÈS
Implants Straumann

AVANTAPRÈS
Implants Straumann
Résultats Avant / Après




+1 autres photos