
Couronne dentaire, Couronnes zircones, Emax, Bridges dentaires
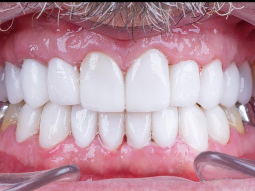
Les couronnes dentaires sont des restaurations utilisées pour protéger et renforcer les dents endommagées. Elles offrent également une solution esthétique pour améliorer l'apparence du sourire. De plus en plus de personnes choisissent de se rendre à l'étranger pour bénéficier de couronnes dentaires de haute qualité à des prix abordables.
Couronnes Dentaires en détails
Couronnes Dentaires
Tarifs
A propos
Définition d'une couronne dentaire
Les couronnes dentaires sont des prothèses fixes qui recouvrent la partie visible d'une dent abîmée ou affaiblie. Elles sont fabriquées sur mesure pour s'adapter parfaitement à la dent naturelle et sont fixées en place à l'aide d'un adhésif dentaire ou parfois par une technique de cimentation.
Déroulé de l'Intervention et de la Fabrication
La procédure de pose d'une couronne dentaire à l'étranger se déroule généralement en plusieurs étapes :
- Examen dentaire et préparation de la dent
- Prise d'empreintes dentaires
- Fabrication de la couronne dans un laboratoire dentaire
- Essai et ajustement de la couronne
- Fixation permanente de la couronne sur la dent préparée
Matériaux pour les couronnes dentaires
Les couronnes dentaires peuvent être fabriquées à partir de différents matériaux, notamment :
- Céramique (zircone, e-max) : offrant une excellente esthétique
- Métal (alliage à base de cobalt-chrome ou d'or) : durable et résistant
- Résine composite : plus économique et utilisée pour les couronnes temporaires
Grandes Marques de porcelaine dentaire
Plusieurs marques renommées fabriquent les matériaux de couronnes dentaires de haute qualité, notamment :
- 3M ESPE
- Ivoclar Vivadent
- Dentsply Sirona
- VITA
- Nobel Biocare
Indication
Les couronnes dentaires sont recommandées dans les cas suivants :
- Dents cariées ou endommagées
- Dents fissurées ou fracturées
- Dents ayant subi un traitement de canal
- Dents malformées ou décolorées
- Pour améliorer l'esthétique du sourire
Possibilités d'Anesthésie
Pour votre confort, diverses options d'anesthésie sont disponibles lors de la pose d'une couronne dentaire. Votre dentiste vous expliquera les différentes méthodes et vous recommandera celle qui convient le mieux à votre situation.
Durée de Vie
La durée de vie d'une couronne dentaire dépend de plusieurs facteurs, tels que le matériau utilisé, les habitudes d'hygiène bucco-dentaire et les visites régulières chez le dentiste. En général, les couronnes bien entretenues peuvent durer de 10 à 15 ans, voire plus.
Durée de l'Intervention
La pose d'une couronne dentaire peut prendre généralement de 1 à 2 heures, selon la complexité de chaque cas. Votre dentiste vous donnera une estimation précise du temps nécessaire lors de votre consultation.
Statistiques de Réussite
Les taux de réussite des couronnes dentaires varient en fonction de différents facteurs, notamment la qualité du matériau utilisé, les compétences du dentiste et les soins apportés par le patient. En général, les couronnes dentaires ont un taux de réussite élevé, allant de 90% à 95%.
Convalescence
Après la pose d'une couronne dentaire, il est normal de ressentir une certaine sensibilité dentaire pendant quelques jours. Cependant, la plupart des patients peuvent reprendre leurs activités normales dès le lendemain de l'intervention.
FAQ
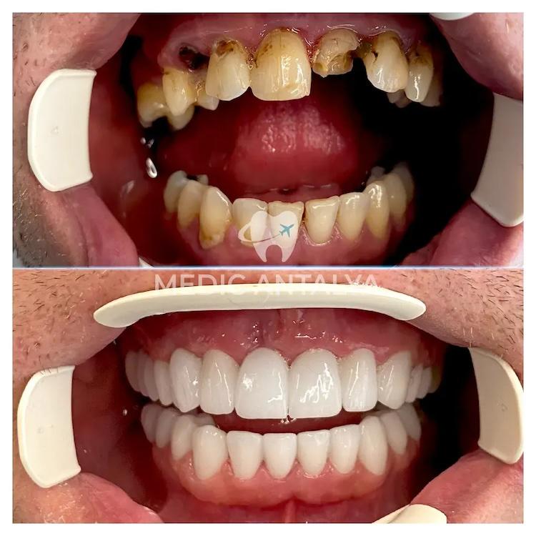
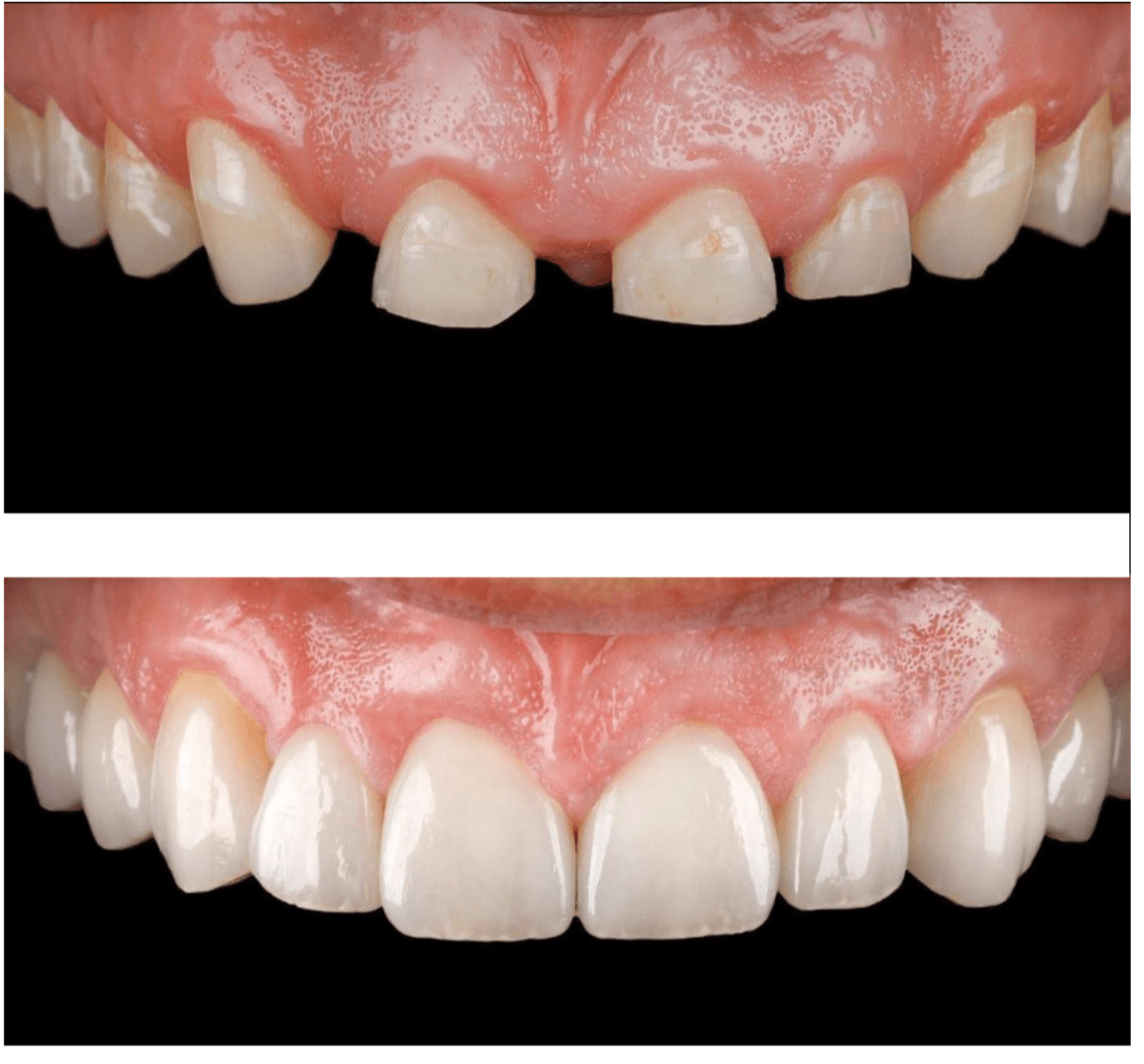
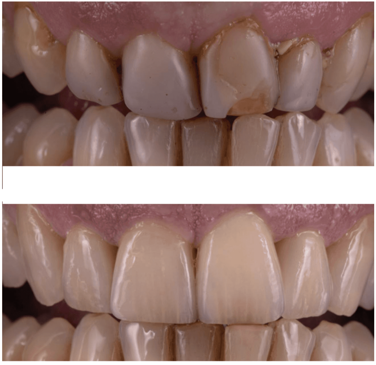
Résultats Avant / Après
Découvrez les transformations de nos patients




























































































































Couronnes Zircones
Tarifs
A propos
Définition de la couronne Zircone
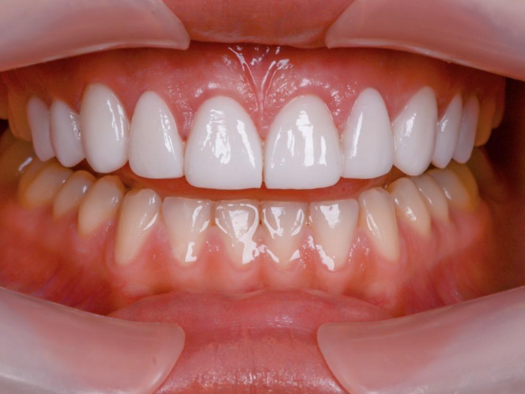
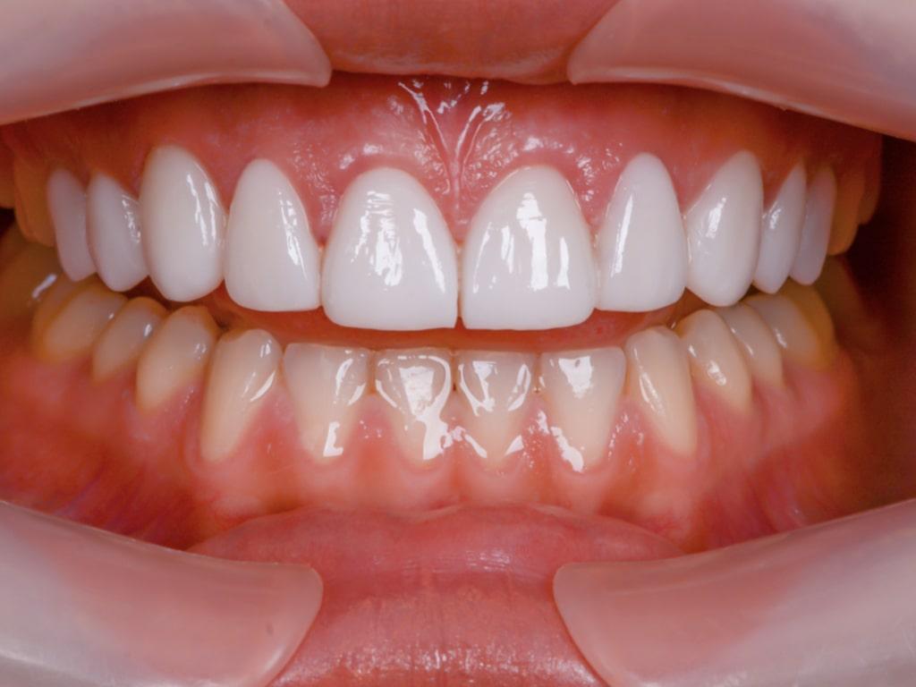
Les couronnes dentaires en zircone sont des prothèses dentaires fabriquées à partir de zircone, un matériau céramique utilisé en dentisterie pour sa solidité et sa biocompatibilité. Elles sont conçues sur mesure pour s'adapter parfaitement à la forme et à la couleur des dents naturelles.
Types de zircones
Il existe différents types de zircones utilisées dans la fabrication des couronnes dentaires :
- Zircone monolithique : une seule pièce de zircone sans couche de céramique.
- Zircone stratifiée : une couche de céramique est appliquée sur la zircone pour obtenir une apparence plus esthétique.
- Zircone translucide : une zircone spécialement conçue pour imiter la translucidité des dents naturelles.
Résistance des couronnes en zircone
Les couronnes dentaires en zircone offrent une résistance exceptionnelle, ce qui en fait un choix durable et fiable pour la restauration des dents. Elles sont capables de résister aux forces masticatoires normales et de maintenir leur intégrité structurelle sur le long terme.
La résistance des couronnes Zircone monobloc peuvent soutenir une pression de 1400 Kg/cm2. La pression de la mâchoire humaine est de l’ordre de 60 à 70 KG/cm2 pour comparaison. La résistance de la couronne zircone excède largement la pression de la mâchoire.
Toutes les couronnes zircones ne sont pas aussi résistantes que les couronnes zircones monobloc, mais elles dépassent toutes largement la force de mastication humaine.
le choix des teintes

Nuancier Vita pour couronnes zircones
Les couronnes en zircone sont disponibles dans un large éventail de teintes pour s'harmoniser parfaitement avec les dents adjacentes et assurer un résultat esthétique naturel. Les dentistes peuvent choisir la teinte appropriée en fonction des besoins spécifiques du patient.
Marques de zircone dentaire
Plusieurs marques réputées fabriquent du zircone dentaire de haute qualité, notamment :
- Straumann
- Nobel
- Ivoclar
- Vita
Processus CAD CAM
Scanner Intra Oral
Le processus de fabrication des couronnes en zircone implique souvent l'utilisation de la technologie CAD CAM (Conception et Fabrication Assistées par Ordinateur). Ce processus permet de concevoir numériquement la couronne et de la fabriquer avec précision à l'aide d'une fraiseuse automatisée. Les mesures dans la bouche sont prises grace à un scanner intra oral qui numérise en 3d le support qui va recevoir la couronne en Zircone.
Fabrication sur ordinateur
Les couronnes sont ensuite conçues numériquement et imprimer dans l'équivalent d'une imprimante 3D spécifique
Les avantages des couronnes zircones
Couronnes résistantes sans métal
Pas d'effet opaqueReflexion de la lumière
pas de coloration de la gencive ( liseré gris)
Les couronnes en zircone sont très résistantes et durables, en même temps que de présenter des avantages esthétiques largement supérieures aux couronnes céramo-métalliques. Ceci les rendent idéales pour des restaurations fonctionnelles et esthétiques. On peut réaliser des restaurations dentaires de dents qui subissent une pression importante au quotidien, que ce soit des prémo-molaires ou des incisives et canines.
FAQ
Couronnes Emax
Tarifs
A propos
Couronnes en Emax, du laboratoire Ivoclar.
18 teintes sont disponibles en Emax
Sans metal - La plus proche prothèse de le dent réelle
Les couronnes en E-Max coexisteront parfaitement avec vos dents naturelles. La palette de leurs différentes teintes translucides et la possibilité d’en ajuster la forme les rendront indétectables par rapport à vos dents adjacentes. L’absence de structure métallique (contrairement aux couronnes céramo-métalliques) évite également l’apparition visible d’un liseré gris disgracieux qui peut apparaître généralement entre la couronne et la gencive lorsque celle-ci se rétracte avec le temps.
Matériaux de fabrication du Emax
Les facettes et couronnes Emax sont fabriquées à partir d'un matériau composite en céramique appelé lithium disilicate, qui est connu pour sa résistance, sa transparence et sa durabilité.
Propriétés esthétique du Emax
Le Emax est privilégié en raison de la réfraction exceptionnelle de la lumière. L'avantages est clairement les propriétés esthétiques qui copient les propriétés des dents naturelles. Beaucoup de dentistes considèrent que le Emax est le matériau proposant les possibilités esthétiques les plus performantes.
De notre expérience de plus de 10 ans de tourisme dentaire, nous avons pu témoigner à de nombreuses reprises de l'incroyable effet que les restauration dentaire en Emax peuvent donner à nos clients. L’effet de transparence qui peut être obtenu est bluffant.
Résistance du Emax
La résistance de l’emax n’est pas en reste, puisque le laboratoire Ivoclar qui produit le Emax donne une résistance de 470 à 530 MPA soit l’équivalent de 470 à 530 KG/cm2 ( on parle précisément de “résistance à la flexion biaxiale moyenne”). Cette résistance est donc 6 à 7 fois supérieure à la pression naturelle de la mâchoire humaine.
Quand choisir une couronne Emax ?
- Dents abîmées ou irrémédiablement tachées
- Dents décolorées
- Mauvaise qualité de l’email naturel de vos dents
- Dents cassées en totalité ou partiellement
- Remplacement d’une ancienne couronne inesthétique
- Déformation de la dent naturelle
- Hollywood smile
- Dents trop petites
FAQ
Pack 16 Couronnes
Tarifs
A propos
Nos packs de 16 couronnes dentaires, comprenant 8 couronnes pour les dents supérieures et 8 pour les dents inférieures, sont conçus pour vous offrir un sourire complet et naturel, allant jusqu'aux prémolaires ( Les dents en position 14 / 24 / 34 / 44 ).
Ce type de pack demandent généralement entre 5 et 10 jours sur place suivant les cliniques et laboratoires.
FAQ
Pack 20 Couronnes
Tarifs
A propos
Nos packs de 20 couronnes dentaires, comprenant 10 couronnes pour les dents supérieures et 10 pour les dents inférieures, sont conçus pour vous offrir un sourire complet et naturel, allant jusqu'aux prémolaires.
Ce type de pack demandent généralement entre 5 et 10 jours sur place suivant les cliniques et laboratoires.
FAQ
Pack 8 Couronnes
Tarifs
A propos
Nos packs de 8 couronnes dentaires, comprenant 4 couronnes pour les dents supérieures et 4 pour les dents inférieures.
Ce type de pack demandent généralement entre 5 et 10 jours sur place suivant les cliniques et laboratoires.
FAQ
Résultats Avant / Après







