
Best deals Faccette dentali in Turkiye
Trasforma il Tuo Sorriso con le Nostre Offerte Esclusive
Rendi il tuo sorriso abbagliante con le nostre offerte esclusive "Smile", "Super Smile" e "Perfect Smile", create appositamente per offrirti il famoso Hollywood Smile chiavi in mano. In base alle tue aspirazioni e all'entità del cambiamento desiderato, i nostri pacchetti sono su misura per trasformare il tuo sorriso.
Pacchetto Smile
Ideale per coloro che già sfoggiano un bel sorriso ma desiderano maggior brillantezza e armonia, questo pacchetto include 8 faccette Emax per l'arcata superiore completate da un sbiancamento professionale dei denti inferiori, garantendo un risultato equilibrato e splendente.
Preventivo SmilePacchetto Super Smile
Raddoppiando l'offerta con 16 faccette, 8 per ogni arcata, questo pacchetto è la quintessenza della trasformazione, offrendo un allineamento impeccabile e una bianchezza spettacolare. Pensato per chi desidera un sorriso radioso senza riserve, include i denti dalla prima premolare destra alla prima premolare sinistra, sia superiori che inferiori.
Preventivo Super SmilePacchetto Perfect Smile
La nostra offerta più completa, che fornisce 20 faccette, 10 in alto e 10 in basso, per un sorriso che cattura l'essenza della perfezione. Questo pacchetto comprende tutti i denti eccetto i molari ed è ideale per i sorrisi più generosi.
Preventivo Perfect SmileOgni pacchetto beneficia di sconti speciali, riflettendo il volume significativo di faccette incluse, oltre a tutta la logistica necessaria in loco. Immagina: a solo un volo di distanza dal sorriso dei tuoi sogni!
Per quanto riguarda le sfumature, metti da parte le preoccupazioni: scegli tra 18 diverse tonalità per un risultato non solo bianco, ma soprattutto naturale. Trasforma il tuo sorriso e rivela la migliore versione di te stesso!
IL SORRISO DI HOLLYWOOD IN 5 GIORNI
Cura Dentale
- Faccette o corone Emax by Ivoclar©
- Provenienti dall'UE Lichtenstein e Austria
- Faccette in pellicola possibili (se occlusione adatta)
- Schermo anti-bruxismo incluso
- Radio panoramica
- Pulizia lucidatura
- Faccette temporanee e/o corone (durante la fabbricazione)
Il Tuo Viaggio
- I nostri Pacchetti Hollywood Smile richiedono 1 viaggio
- Prenotiamo le tue notti d'hotel
- Organizziamo i tuoi trasferimenti VIP
- Trasferimenti dall'aeroporto
- Trasferimenti per gli appuntamenti in clinica
Garanzie
- Corone e faccette garantite per 3 anni
- Protesi / dentiere garantite per 2 anni
- Implantion Alpha Bio / Nobel con garanzia a vita
- In caso di reso in garanzia: €200 per l'aereo e €150 per l'hotel (Izmir)
- Servizio clienti in Francia
I nostri pacchetti completi utilizzano esclusivamente Emax di Ivoclar, il nostro Gold Partner produce circa dieci nuovi sorrisi ogni settimana. Avrai la scelta dell'hotel e il tempo per scegliere il colore dei tuoi sogni tra le 18 sfumature di bianco disponibili presso le cliniche. Il nostro coordinatore dedicato di lingua francese in loco ti assisterà e ti accompagnerà durante il trattamento per assicurarti di comprendere appieno tutte le indicazioni fornite dal dentista. Puoi prenotare i tuoi servizi e la tua data direttamente online. Abbiamo pensato a tutto per farti sorridere!
Le nostre cliniche dentali in Turchia sono esattamente come le immagini e, come azienda francese, lo garantiamo.
La clinica ha un team medico di dentisti esperti. Gli esperti sono specializzati in tutti i settori dell'odontoiatria moderna: implantologia, cure estetiche (corone, faccette, ecc.) e riabilitazione dentale.
Utilizza tecnologie dentali all'avanguardia per offrirti cure di qualità e soddisfa gli stessi requisiti delle cliniche francesi e gli standard ISO europei.
Definizione
Le faccette emax sono rivestimenti sottili in ceramica di alta qualità, realizzati in disilicato di litio. Questo materiale offre resistenza ed estetica eccezionali, permettendo di creare faccette dentali molto realistiche e durature.
Faccette Emax
Caratteristiche delle faccette Emax:
- Rivestimento sottile in ceramica di alta qualità
- Realizzate in disilicato di litio
- Resistenti ed estetiche
- Creano un aspetto naturale e armonioso
- Richiedono una preparazione minima dei denti
Inoltre, gli strati di ceramica sono estremamente sottili,
In odontoiatria moderna, l'E.Max è considerato l'ultima generazione di ceramica dentale per la fabbricazione di faccette e corone. La faccetta che ti verrà applicata sarà realizzata interamente in ceramica e sarà omogenea. La tonalità che vedi sarà esattamente la stessa tonalità che avrai quando sorridi. Questo tipo di faccetta non ha alcuna struttura metallica, la struttura interna di questa faccetta è esattamente dello stesso colore dell'esterno visibile.
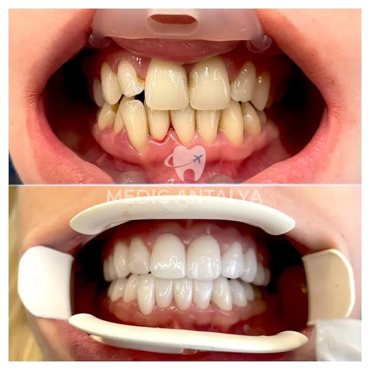
Risultati Prima / Dopo
Scopri le trasformazioni dei nostri pazienti
Corone zirconio X 8
(11)










Faccette X 16
(45)









.jpg&w=1920&q=75)


.jpg&w=1920&q=75)

























.png&w=1920&q=75)
.png&w=1920&q=75)
.jpeg&w=1920&q=75)

.jpeg&w=1920&q=75)

Faccette X 20
(36)









.jpg&w=1920&q=75)


.jpg&w=1920&q=75)






















Corone zirconio X 16
(6)





Faccette X 8
(15)









.jpg&w=1920&q=75)


.jpg&w=1920&q=75)

Tutte le cliniche

Clinica leader nel turismo dentale in Turchia, Dentaglobal è il partner storico di Esthetic Planet con oltre 6 anni di collaborazione ed esperienza con clienti internazionali. All'origine dell'eccellente reputazione dei dentisti turchi, Dentaglobal continua a offrire cure all'avanguardia e soluzioni innovative come il loro sistema di garanzia unico per assicurare i pazienti internazionali contro possibili rischi dentali.
DENTAGLOBAL è GOLD PARTNER Esthetic Planet dal 2018.

Da Dent Glow, il nostro obiettivo è creare un'atmosfera amichevole e professionale per i nostri pazienti. Siamo dedicati all'adozione delle ultime novità nella tecnologia dentale per garantire la migliore cura possibile.
Il vostro comfort e la vostra soddisfazione sono le nostre priorità principali. Crediamo nella comunicazione aperta, dedicando il tempo per ascoltare e affrontare le vostre preoccupazioni, al fine di costruire una relazione di fiducia e duratura.
Il nostro team dentistico, compreso il nostro laboratorio interno, è al vostro servizio. Il vantaggio esclusivo del nostro laboratorio interno è che ci consente di offrirvi il sorriso che desiderate, con una qualità senza pari.

A Medic Antalya, il nostro obiettivo è aiutare le persone di tutto il mondo a ottenere il sorriso dei loro sogni a prezzi accessibili. Raggiungiamo questo obiettivo utilizzando le tecnologie più recenti e materiali di altissima qualità in odontoiatria.
Con i nostri 25 anni di esperienza nel settore, possiamo soddisfare le diverse esigenze e desideri dei nostri pazienti. Ci impegniamo a fornire servizi d’élite ai nostri pazienti in tutto il mondo.

Situata nel cuore di Nişantaşı, il quartiere più prestigioso di Istanbul, la YEG Clinic è un centro odontoiatrico di eccellenza specializzato nel "Hollywood Smile Design" e negli impianti dentali.
A differenza delle cliniche tradizionali, disponiamo di un laboratorio digitale interno all'avanguardia. Questo ci permette di realizzare rifacimenti completi del sorriso e trattamenti implantari in sole 3 notti / 4 giorni con una precisione senza pari. Offriamo ai pazienti internazionali una vera esperienza VIP, che include trasferimenti di lusso e assistenza in lingua inglese, assicurando che il vostro percorso verso un sorriso perfetto sia senza intoppi.

Clinica dentale di prestigio situata a Istanbul, Dentique Clinic è un punto di riferimento nel campo delle cure dentali estetiche, degli impianti, dello smile design e della chirurgia orale. Riconosciuta per la qualità dei suoi trattamenti e la sua esperienza internazionale, la clinica accoglie ogni anno numerosi pazienti provenienti da Europa, Nord Africa e Medio Oriente. Dentique Clinic si distingue per l’uso di tecnologie all’avanguardia e materiali certificati come Vita, Ivoclar e GC, garantendo cure di alta qualità e perfettamente sicure. Ogni trattamento è personalizzato per assicurare un risultato naturale, duraturo e in perfetta armonia con le aspettative estetiche del paziente.










