
Le facette dentali sono una soluzione estetica popolare per migliorare l'aspetto dei denti e ottenere un sorriso brillante. Sono spesso utilizzate per correggere problemi come denti macchiati, scheggiati, mal allineati o spaziati. Le facette dentali sono sottili rivestimenti in porcellana o composito che vengono incollati sulla superficie visibile dei denti, conferendo loro un aspetto naturale e attraente.
Faccette dentali dettagli
Faccette dentali
Prezzi
Riguardo a
Definizione
Le facette dentali sono rivestimenti sottili e personalizzati realizzati in porcellana o composito. Sono progettate per adattarsi perfettamente alla forma e al colore dei tuoi denti naturali, garantendo un risultato estetico naturale.
Indicazioni Terapeutiche
Le facette dentali sono consigliate nei seguenti casi:
- Denti macchiati: Le facette possono nascondere le macchie dentali che non possono essere rimosse tramite sbiancamento dei denti.
- Denti scheggiati o fratturati: Le facette possono ripristinare l'aspetto dei denti danneggiati, conferendo loro una superficie liscia e uniforme.
- Denti mal allineati o deformi: Le facette possono correggere problemi di posizionamento e forma dei denti per creare un sorriso armonioso.
- Spazi tra i denti: Le facette possono ridurre gli spazi tra i denti, conferendo un aspetto più uniforme ed estetico.
Anestesia
La procedura di posizionamento delle facette dentali viene generalmente eseguita sotto anestesia locale. Ciò assicura che non sentirai alcun dolore o disagio durante la procedura. Il tuo dentista discuterà l'anestesia appropriata in base al tuo caso specifico.
Durata della Procedura
Il posizionamento delle facette dentali può variare in base al numero di denti trattati. In generale, potrebbe richiedere diversi appuntamenti nel corso di alcune settimane quando fatto dal tuo dentista locale. Quando fatto all'estero, i dentisti concentrano gli appuntamenti, e il posizionamento delle facette dentali può essere completato in pochi giorni. Il tuo dentista ti fornirà una stima precisa del tempo necessario in base al tuo caso individuale.
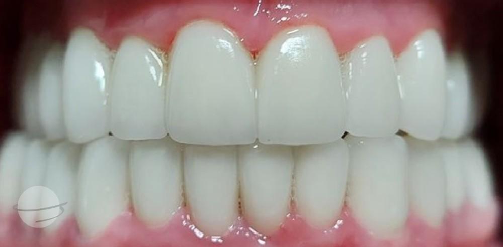
Risultato Faccetta Dentale
Risultati e Manutenzione a Lungo Termine
Le facette dentali offrono risultati spettacolari migliorando l'aspetto del tuo sorriso. Sono resistenti alle macchie e possono durare molti anni con le cure adeguate. Per mantenere le tue facette in ottime condizioni, è importante mantenere una buona igiene orale, sottoporsi regolarmente a controlli dentistici ed evitare abitudini che potrebbero danneggiare le facette, come digrignare i denti o masticare sostanze dure.
Faccetta Dentale EMAX
Facette Esthetic-Planet
Consulta il nostro team esperto ed esplora le cliniche partner specializzate in faccette dentali. Presso Esthetic Planet, ci impegniamo a offrirti partner di qualità e ad aiutarti a ottenere il sorriso radiante che meriti.
Recupero
Il recupero dopo il posizionamento delle facette dentali è generalmente rapido e relativamente indolore. Potresti sperimentare una leggera sensibilità iniziale dei denti, ma questa dovrebbe scomparire rapidamente. Puoi riprendere le tue attività normali immediatamente dopo la procedura.
Domande frequenti
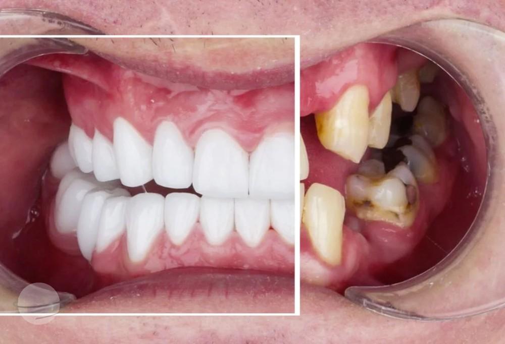
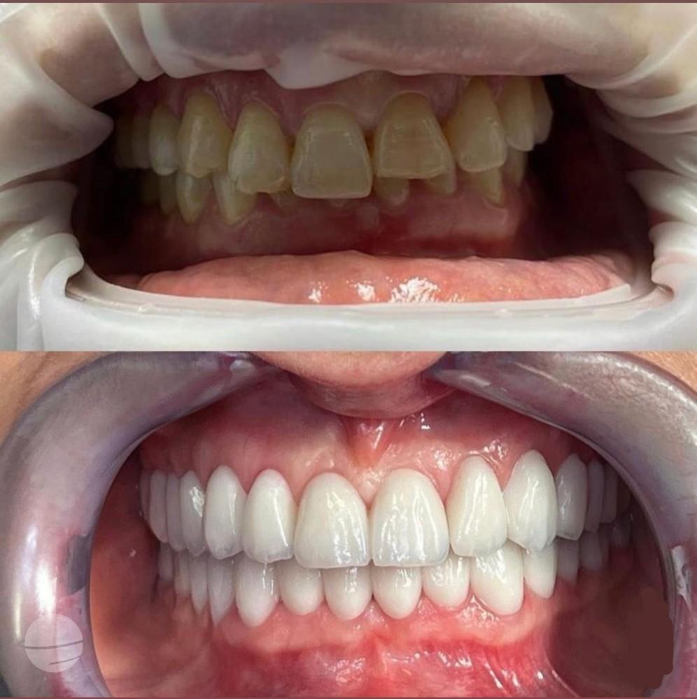
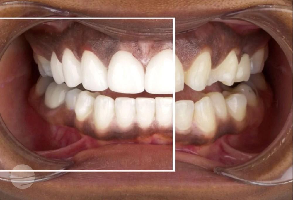
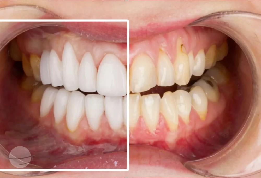
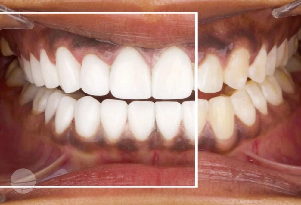
Risultati Prima / Dopo
Scopri le trasformazioni dei nostri pazienti









.jpeg&w=1920&q=75)

.png&w=1920&q=75)









.jpeg&w=1920&q=75)










.jpeg&w=1920&q=75)







.png&w=1920&q=75)
.jpeg&w=1920&q=75)







.png&w=1920&q=75)








.jpeg&w=1920&q=75)
.jpeg&w=1920&q=75)







.jpeg&w=1920&q=75)





.jpeg&w=1920&q=75)
.jpeg&w=1920&q=75)





.jpeg&w=1920&q=75)





.jpg&w=1920&q=75)











.jpg&w=1920&q=75)



















































Faccette Emax
Prezzi
Riguardo a
Definizione
Le faccette emax sono rivestimenti sottili in ceramica di alta qualità, realizzati in disilicato di litio. Questo materiale offre resistenza ed estetica eccezionali, permettendo di creare faccette dentali molto realistiche e durature.
Faccette Emax
Caratteristiche delle faccette Emax:
- Rivestimento sottile in ceramica di alta qualità
- Realizzate in disilicato di litio
- Resistenti ed estetiche
- Creano un aspetto naturale e armonioso
- Richiedono una preparazione minima dei denti
Inoltre, gli strati di ceramica sono estremamente sottili,
In odontoiatria moderna, l'E.Max è considerato l'ultima generazione di ceramica dentale per la fabbricazione di faccette e corone. La faccetta che ti verrà applicata sarà realizzata interamente in ceramica e sarà omogenea. La tonalità che vedi sarà esattamente la stessa tonalità che avrai quando sorridi. Questo tipo di faccetta non ha alcuna struttura metallica, la struttura interna di questa faccetta è esattamente dello stesso colore dell'esterno visibile.
Quando scegliere una faccetta Emax?
Le faccette emax sono raccomandate nei casi in cui si desidera correggere problemi estetici dentali come:
- Denti scheggiati o incrinati
- Macchie o decolorazioni dentali persistenti
- Spazi tra i denti
- Denti leggermente mal allineati o irregolari
- Sostituzione di una vecchia corona inestetica
- Forma inestetica di un dente
- Denti troppo piccoli

Anestesia
Durante la posa delle faccette emax, generalmente viene somministrata un'anestesia locale per garantire il tuo comfort durante l'intervento. Il tuo dentista farà in modo che tu non senta alcun dolore durante il processo.
La posa di faccette Emax
Le fasi della posa delle faccette Emax:
Consultazione iniziale con il dentista per valutare il tuo caso specifico e discutere delle tue aspettative.
Preparazione dei denti rimuovendo uno strato sottile di smalto per consentire la posa delle faccette.
Presa di impronte dentali per la fabbricazione delle faccette Emax su misura.
Prova e regolazione delle faccette per garantire una vestibilità perfetta e un'estetica ottimale.
Fissaggio definitivo delle faccette Emax sui denti con una resina speciale.
Questo processo avviene in pochi giorni.
Dimensione del dente con la faccetta Emax?
Nel contesto della posa di faccette dentali, la questione della dimensione del dente è molto importante. Molti pazienti desiderano avere faccette, ma non vogliono ridurre le dimensioni dei loro denti e quindi desiderano un processo reversibile.
Per quanto riguarda la dimensione del dente, è assolutamente necessario comprendere l'equilibrio tra la necessità di posizionare una protesi stabile e resistente e la necessità di ridurre al minimo la dimensione del dente.
Se il dente naturale è posizionato molto bene (nessun problema di occlusione o problemi ortodontici), allora la dimensione del dente può essere minima. Questo è chiamato "preparazione minima".
Se l'occlusione è problematica e/o sono necessarie correzioni ortodontiche, allora non è possibile effettuare faccette con una preparazione minima.
-Vedi i nostri articoli sulle faccette sottili-
Le faccette Emax possono beneficiare di preparazioni minime, tuttavia questo non è assolutamente applicabile in tutti i casi. È fortemente consigliato inviare le tue foto per una diagnosi sulla fattibilità delle faccette con preparazione minima.
Durata della posa
La posa delle faccette Emax può essere effettuata in due o tre sedute distribuite su 4 a 10 giorni a seconda delle cliniche e della complessità del tuo caso. Ogni seduta dura generalmente tra un'ora e due ore, a seconda del numero di faccette da posare.
Risultati e manutenzione a lungo termine
Le faccette Emax offrono risultati estetici eccezionali, fornendo l'aspetto di denti naturali e armoniosi. Queste faccette sono resistenti alle macchie e mantengono il loro splendore per molti anni con una manutenzione appropriata.
Per preservare l'aspetto e la durabilità delle vostre faccette Emax, è essenziale mantenere una buona igiene orale lavandovi i denti regolarmente, utilizzando il filo interdentale e effettuando visite regolari dal vostro dentista.
Convalescence
La convalescence après la pose des facettes Emax est généralement rapide. Vous pourrez reprendre vos activités normales dès la fin de l'intervention. Cependant, il est recommandé d'éviter de consommer des aliments durs ou collants qui pourraient endommager les facettes nouvellement posées.
Domande frequenti
Hollywood Smile
Prezzi
Riguardo a
Sorriso Hollywood: Trasforma il Tuo Sorriso!
Il sorriso Hollywood, una trasformazione del sorriso grazie all'uso di 16 a 20 faccette Emax o corone in zirconia. Questi materiali all'avanguardia offrono un'estetica notevole e una resistenza impressionante, garantendo così un sorriso sia luminoso che duraturo.
Con le faccette Emax, beneficerai di una soluzione minimamente invasiva, progettata per migliorare la forma, la dimensione e il colore dei tuoi denti, preservando al contempo la loro struttura naturale. Le corone in zirconia, d'altro canto, offrono un'alternativa altrettanto estetica, con il vantaggio aggiuntivo di una maggiore resistenza e durata, ideali per coloro che cercano di ripristinare denti più danneggiati o ottenere un sorriso perfettamente allineato.
Domande frequenti
Faccette Pellicolari
Prezzi
Riguardo a
Definizione delle Faccette Laminari
Le faccette laminari sono un tipo di faccetta dentale. Sono sottili gusci realizzati in ceramica, porcellana o composito che vengono fissati sulla superficie visibile dei denti. Vengono utilizzate per migliorare l'aspetto dei denti cambiandone la forma, il colore, l'allineamento e la dimensione. Le faccette laminari sono una soluzione estetica popolare per ottenere un sorriso radiante e armonioso.
Riduzione Dentale, Preservando la Struttura Dentale
Oltre a questi benefici estetici, le faccette laminari generalmente preservano la struttura naturale dei denti, richiedono la rimozione di poco smalto dentale e sono resistenti alle macchie.
Questo è il principale vantaggio delle faccette laminari e la ragione per cui questo tipo di faccetta è preferito.
Procedura delle Faccette Laminari
L'Applicazione delle Faccette Laminari
Passaggi:
- Consultazione e pianificazione: Il dentista esamina i denti del paziente, discute degli obiettivi estetici e pianifica il trattamento.
- Preparazione minima del dente: Viene rimossa una sottile strato di smalto dentale per consentire il montaggio delle faccette e l'applicazione del cemento dentale.
- Prendere impronte: Vengono prese impronte dentali per la fabbricazione di faccette su misura.
- Con le faccette laminari, non sono richieste faccette temporanee se la preparazione è minima.
- Posizionamento delle faccette definitive: Le faccette laminari vengono fissate sui denti usando un adesivo dentale speciale.
- Finalizzazione: Le faccette vengono regolate, lucidate e controllate per garantire una perfetta aderenza e un risultato estetico ottimale.
Materiali Utilizzati per le Faccette Laminari
Le faccette laminari possono essere realizzate con diversi materiali, tra cui:
- Ceramica: Le faccette in ceramica offrono un'eccellente estetica e alta resistenza. Imitano da vicino l'aspetto naturale dei denti.
- Porcellana: Le faccette in porcellana sono altamente estetiche e offrono un'eccellente durata. Sono note per la loro resistenza alle macchie.
- Composito: Le faccette in composito sono realizzate in resina composita e sono meno costose rispetto ad altre opzioni. Tuttavia, possono essere meno durature e meno resistenti alle macchie.
Marchi di Materiali Utilizzati per le Faccette Laminari
Ci sono diversi marchi rinomati per la fabbricazione di materiali di qualità per le faccette laminari. Tra i marchi popolari ci sono:
- VITA Zahnfabrik
- Ivoclar Vivadent (Emax)
- Lumineers
- Dentsply Sirona
Caratteristiche delle Faccette Laminari:
- Rivestimento sottile in ceramica o composito
- Non richiedono una riduzione del dente o solo una riduzione minima
- Si aderiscono direttamente alla superficie dei denti
- Possono essere reversibili e rimovibili se necessario
- Offrono un'opzione meno invasiva per migliorare l'estetica dentale
Faccette Laminari Lumineers
Le faccette laminari Lumineers sono un marchio specifico di faccette dentali in porcellana ultra-sottile. Sono prodotte da DenMat Holdings LLC, una società specializzata in prodotti dentali estetici di alta qualità.
Vantaggi delle Faccette Laminari Lumineers
Le faccette laminari Lumineers offrono numerosi vantaggi, tra cui:
- Design ultra-sottile: Le faccette Lumineers sono estremamente sottili, richiedendo la rimozione di poco o nessuno smalto dentale prima dell'applicazione.
- Procedura non invasiva: Grazie al loro design ultra-sottile, le faccette Lumineers consentono una procedura più conservativa e meno invasiva, preservando così maggiormente la struttura naturale dei denti.
- Risultati estetici naturali: Le faccette Lumineers sono note per il loro aspetto naturale e traslucido, imitando da vicino l'aspetto dei denti naturali.
- Resistenza alle macchie: Le faccette Lumineers sono resistenti alle macchie e mantengono la loro brillantezza e colore nel tempo.
- Facilità di applicazione: L'applicazione delle faccette Lumineers è spesso più veloce e semplice rispetto ad altri tipi di faccette, riducendo così il tempo trascorso dal dentista.
L'applicazione delle faccette pellicolari
L'applicazione delle faccette dentali può essere realizzata in una o due sedute, a seconda della complessità del tuo caso. Ogni seduta dura generalmente tra un'ora e due ore, a seconda del numero di faccette da applicare.
Vantaggi delle faccette pellicolari
Le faccette pellicolari offrono numerosi vantaggi estetici, tra cui:
- Un sorriso perfetto
- Miglioramento del colore dei denti
- Correzione dei denti macchiati, scheggiati o usurati
- Correzione degli spazi tra i denti
- Correzione dei denti mal allineati o malformati
- Rafforzamento dei denti deboli
Svantaggi delle faccette pellicolari
Nonostante i numerosi vantaggi, le faccette pellicolari presentano anche alcuni potenziali svantaggi:
- Sensibilità dentale: In alcuni casi, l'applicazione delle faccette pellicolari può causare una temporanea sensibilità dentale, specialmente al caldo, al freddo o agli alimenti dolci.
- Irreversibilità: Questo concetto è dipendente dal paziente.
- Costo: Le faccette pellicolari possono essere più costose di altri trattamenti estetici dentali a causa della loro progettazione su misura e della loro qualità superiore.
- Vincoli di restauro: I denti con faccette pellicolari richiedono un'attenzione e una manutenzione particolari. Alcune abitudini alimentari o comportamenti, come mordere oggetti duri o digrignare i denti, possono danneggiare le faccette. Le faccette pellicolari sono ultra-sottili, e quindi più fragili.
Svantaggi specifici delle faccette Lumineers
Per quanto riguarda le faccette pellicolari Lumineers, è importante considerare alcuni aspetti:
- Spessore limitato: Sebbene le faccette Lumineers siano ultra-sottili, possono essere leggermente più spesse di altri tipi di faccette pellicolari. Questo può essere uno svantaggio per alcuni pazienti che cercano uno spessore minimo.
- Limitazioni estetiche: A causa del loro design ultra-sottile, le faccette Lumineers possono avere limitazioni estetiche in alcuni casi, in particolare per correggere problemi dentali più gravi o malposizioni severe.
È importante consultare un professionista
È essenziale consultare un dentista qualificato ed esperto per valutare il tuo caso specifico, discutere i vantaggi e gli svantaggi delle faccette pellicolari e prendere una decisione informata sul trattamento più adatto alle tue esigenze dentali ed estetiche.
Risultati e manutenzione a lungo termine
Le faccette dentali, sia che si tratti di faccette emax o di faccette pellicolari, offrono risultati estetici eccezionali, conferendo l'aspetto di denti naturali e armoniosi. Sono resistenti alle macchie e mantengono la loro brillantezza per molti anni con una corretta manutenzione.
Per preservare l'aspetto e la durata delle tue faccette dentali, è essenziale mantenere una buona igiene orale spazzolando i denti regolarmente, usando il filo interdentale e effettuando visite regolari dal tuo dentista.
Convalescenza dopo l'applicazione di faccette pellicolari
La convalescenza dopo l'applicazione delle faccette dentali è generalmente rapida. Potrai riprendere le tue attività normali immediatamente dopo l'intervento. Tuttavia, si raccomanda di evitare di consumare alimenti duri o appiccicosi che potrebbero danneggiare le faccette appena applicate.
Domande frequenti
Faccette X 20
Prezzi
Riguardo a
Le nostre confezioni da 20 faccette dentali, di cui 10 faccette per i denti superiori e 10 per i denti inferiori, sono progettate per regalarti un sorriso completo e naturale, estendendosi fino ai premolari.
Questo tipo di imballaggio richiede generalmente dai 5 ai 10 giorni sul posto a seconda delle cliniche e dei laboratori.
Domande frequenti
Faccette X 16
Prezzi
Riguardo a
Questo tipo di imballaggio richiede generalmente dai 5 ai 10 giorni sul posto a seconda delle cliniche e dei laboratori.
Domande frequenti
Faccette X 8
Prezzi
Riguardo a
Les packs de 8 facettes dentaires, comprenant 4 facettes pour les dents supérieures et 4 pour les dents inférieures.
Ce type de pack demandent généralement entre 5 et 10 jours sur place suivant les cliniques et laboratoires.
Domande frequenti
Risultati Prima / Dopo







