
Les facettes dentaires sont une solution esthétique populaire pour améliorer l'apparence des dents et obtenir un sourire éclatant. Elles sont souvent utilisées pour corriger des problèmes tels que des dents tachées, ébréchées, mal alignées ou espacées. Les facettes dentaires sont des coquilles minces en porcelaine ou en composite qui sont collées sur la surface visible des dents, leur donnant une apparence naturelle et attrayante.
Facettes Dentaires en détails
Facettes Dentaires
Tarifs
A propos
Définition
Les facettes dentaires sont des revêtements minces et personnalisés fabriqués en porcelaine ou en composite. Elles sont conçues pour s'adapter parfaitement à la forme et à la couleur de vos dents naturelles, offrant ainsi un résultat esthétique naturel.
Dans quel cas utiliser des facettes dentaires ?
Les facettes dentaires sont recommandées dans les cas suivants :
- Dents tachées : Les facettes peuvent masquer les taches dentaires qui ne peuvent pas être éliminées par un blanchiment dentaire.
- Dents ébréchées ou fracturées : Les facettes peuvent restaurer l'apparence des dents endommagées et leur redonner une surface lisse et uniforme.
- Dents mal alignées ou malformées : Les facettes peuvent corriger les problèmes de positionnement et de forme des dents pour créer un sourire harmonieux.
- Espaces entre les dents : Les facettes peuvent réduire les espaces entre les dents, offrant ainsi un aspect plus uniforme et plus esthétique.
Anesthésie
L'intervention de pose de facettes dentaires est généralement réalisée sous anesthésie locale. Cela garantit que vous ne ressentirez aucune douleur ou gêne pendant la procédure. Votre dentiste discutera avec vous de l'anesthésie appropriée en fonction de votre cas spécifique.
Durée de l'Intervention
La pose de facettes dentaires peut varier en fonction du nombre de dents traitées. En général, cela peut prendre plusieurs rendez-vous sur une période de quelques semaines lorsque vous le faite avec votre dentiste local. Lorsque vous les réalisez à l'étranger, les dentistes concentrent les rendez-vous et la pose de facettes dentaires peut être complétée en seulement quelques jours. Votre dentiste vous fournira une estimation précise du temps nécessaire en fonction de votre cas individuel.
Résultat facette dentaire
Résultats et Entretien sur le Long Terme
Les facettes dentaires offrent des résultats spectaculaires en améliorant l'apparence de votre sourire. Elles sont résistantes aux taches et peuvent durer de nombreuses années avec des soins appropriés. Pour maintenir vos facettes en bon état, il est important de maintenir une bonne hygiène bucco-dentaire, de consulter régulièrement votre dentiste et d'éviter les habitudes qui pourraient endommager les facettes, telles que le grincement des dents ou la mastication de substances dures.
Facette Dentaire EMAX
Facettes Esthetic-Planet
Consultez notre équipe expérimentée et explorez nos cliniques partenaires spécialisées dans les facettes dentaires. Chez Esthetic Planet, nous nous engageons à vous proposer des partenaires de qualité et à vous aider à obtenir le sourire éclatant que vous méritez.
Convalescence
La convalescence après la pose de facettes dentaires est généralement rapide et peu douloureuse. Vous pouvez ressentir une légère sensibilité dentaire initiale, mais cela devrait disparaître rapidement. Vous pourrez reprendre vos activités normales immédiatement après l'intervention.
FAQ
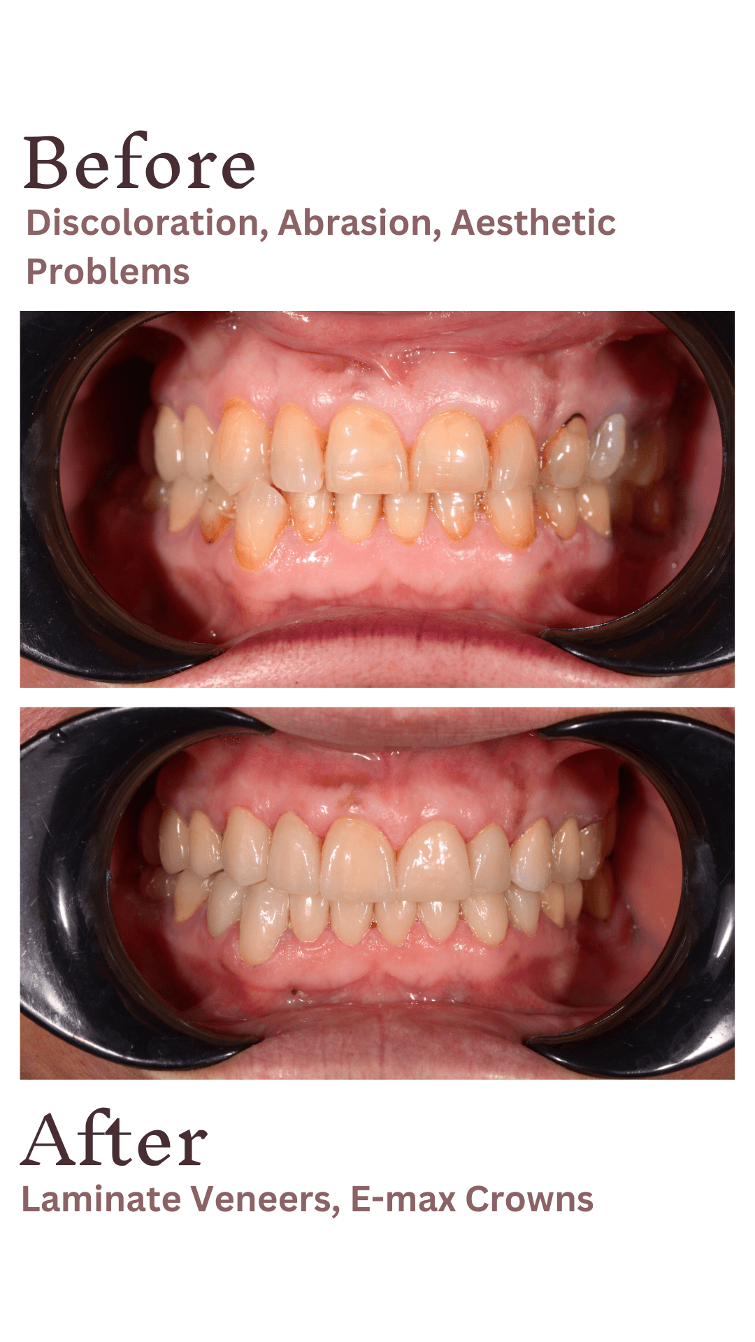
Résultats Avant / Après
Découvrez les transformations de nos patients









.jpeg&w=1920&q=75)

.png&w=1920&q=75)









.jpeg&w=1920&q=75)










.jpeg&w=1920&q=75)







.png&w=1920&q=75)
.jpeg&w=1920&q=75)







.png&w=1920&q=75)








.jpeg&w=1920&q=75)
.jpeg&w=1920&q=75)







.jpeg&w=1920&q=75)





.jpeg&w=1920&q=75)
.jpeg&w=1920&q=75)





.jpeg&w=1920&q=75)





.jpg&w=1920&q=75)











.jpg&w=1920&q=75)



















































Facettes Emax
Tarifs
A propos
Définition
Les facettes emax sont des revêtements minces en céramique de haute qualité, fabriqués à partir d'un matériau en disilicate de lithium. Ce matériau offre une résistance et une esthétique exceptionnelles, permettant de créer des facettes dentaires très réalistes et durables.
Facettes Emax
Caractéristiques des facettes Emax :
- Revêtement mince en céramique de haute qualité
- Fabriquées à partir de disilicate de lithium
- Résistantes et esthétiques
- Créent un aspect naturel et harmonieux
- Nécessitent une préparation minimale des dents
De plus, les couches de céramique sont extrêmement minces,
En dentisterie moderne, l’E.Max est considéré comme l’ultime génération de céramique dentaires, pour la fabrication de facette et de couronnes. La facette qui vous sera posée sera réalisée à partir de céramique uniquement, et sera homogène. La teinte que vous voyez sera exactement la même teinte que vous aurez en souriant. Ce type de facette ne possède aucune structure métallique, la structure interne de cette facette est exactement de la même couleur que l’extérieur visible.
Quand choisir une facette Emax?
Les facettes emax sont recommandées dans les cas où vous souhaitez corriger des problèmes esthétiques dentaires tels que :
- Dents ébréchées ou fissurées
- Taches ou décoloration dentaire persistante
- Espaces entre les dents
- Dents légèrement mal alignées ou irrégulières
- Remplacement d’une ancienne couronne inesthétique
- Forme inésthétique d'une dent Dents trop petites

Anesthésie
Lors de la pose des facettes emax, une anesthésie locale est généralement administrée pour assurer votre confort pendant l'intervention. Votre dentiste veillera à ce que vous ne ressentiez aucune douleur pendant le processus.
La pose de facette Emax
Les étapes de la pose des facettes Emax:
Consultation initiale avec le dentiste pour évaluer votre cas spécifique et discuter de vos attentes.
Préparation des dents en retirant une fine couche d'émail pour permettre la pose des facettes.
Prise d'empreintes dentaires pour la fabrication des facettes emax sur mesure.
Essayage et ajustement des facettes pour garantir un ajustement parfait et une esthétique optimale.
Fixation définitive des facettes emax sur les dents à l'aide d'une résine spéciale.
Ce processus se déroule en quelques jours.
Taille de la dent avec la facette Emax ?
Dans le cadre de pose de facettes dentaires, la question de la taille de la dent est très importante. Beaucoup de patients souhaitent réaliser des facettes, mais ne souhaitent pas tailler leurs dents et souhaitent donc un processus reversible.
Concernant la taille de la dent, il faut absolument comprendre l'équilibre entre le besoin de poser une prothèse stable et résistantes et le besoin de tailler la dent le moins possible.
Si la dent naturelle est très bien positionnée (pas de problème d'occlusion, ou de problème orthodontique), alors la taille de la dent peut être minime. On appel cela une "préparation minimale".
Si l'occlusion est problématique, et/ou des problèmes orthodontiques doivent être corrigés, alors il est impossible de réaliser des facettes avec une préparation minimale.
-Voir nos articles sur les facettes pelliculaires-
Les facettes Emax peuvent bénéficier des préparations minimales, cependant cela n'est absolument pas applicables dans tous les cas. Il est fortement conseillé d'envoyer vos photos pour une diagnostic sur la faisabilité de facettes à préparation minimale.
Durée de la pose
La pose des facettes emax peut être réalisée en deux à 3 séances réparties sur 4 à 10jours selon les cliniques et en fonction de la complexité de votre cas. Chaque séance dure généralement entre une et deux heures, selon le nombre de facettes à poser.
Résultats et entretien sur le long terme
Les facettes emax offrent des résultats esthétiques exceptionnels, donnant l'apparence de dents naturelles et harmonieuses. Ces facettes sont résistantes aux taches et conservent leur éclat pendant de nombreuses années avec un entretien approprié.
Pour préserver l'apparence et la durabilité de vos facettes emax, il est essentiel de maintenir une bonne hygiène bucco-dentaire en vous brossant les dents régulièrement, en utilisant du fil dentaire et en effectuant des visites régulières chez votre dentiste.
Convalescence
La convalescence après la pose des facettes Emax est généralement rapide. Vous pourrez reprendre vos activités normales dès la fin de l'intervention. Cependant, il est recommandé d'éviter de consommer des aliments durs ou collants qui pourraient endommager les facettes nouvellement posées.
FAQ
Hollywood Smile
Tarifs
A propos
Hollywood Smile: Transformez votre Sourire!
Le Hollywood smile, une métamorphose du sourire grâce à l'utilisation de 16 à 20 facettes Emax ou couronnes en zircone. Ces matériaux de pointe offrent une esthétique remarquable et une résistance impressionnante, garantissant ainsi un sourire à la fois éclatant et durable.
Avec les facettes Emax, vous bénéficierez d'une solution minimalement invasive, conçue pour améliorer la forme, la taille et la couleur de vos dents, tout en préservant leur structure naturelle. Les couronnes en zircone, quant à elles, offrent une alternative tout aussi esthétique, avec l'avantage supplémentaire d'une résistance et d'une durabilité accrues, idéales pour ceux qui cherchent à restaurer des dents plus endommagées ou à obtenir un sourire parfaitement aligné.
FAQ
Facettes Pelliculaires
Tarifs
A propos
Définition des facettes pelliculaires
Les facettes pelliculaires, sont un type de facettes dentaires. Ce sont de fines coquilles en céramique, en porcelaine ou composite qui sont fixées sur la surface visible des dents. Elles sont utilisées pour améliorer l'apparence des dents en modifiant leur forme, leur couleur, leur alignement et leur taille. Les facettes pelliculaires sont une solution esthétique populaire pour obtenir un sourire éclatant et harmonieux.
La tailles des dents, préservation de la structure dentaire
En plus de ces avantages esthétiques, les facettes pelliculaires préservent généralement la structure naturelle des dents, nécessitent peu d'émail dentaire à retirer et sont résistantes aux taches.
C'est le principal avantage des facettes pelliculaires. et la raison pour laquelle ce type de facette sera privilégié.
Procédure des facettes pelliculaires
La pose de facettes pelliculaires
Les étapes:
- Consultation et planification : Le dentiste examine les dents du patient, discute de ses objectifs esthétiques et planifie le traitement.
- Préparation minimale des dents : Une fine couche d'émail dentaire est retirée pour permettre l'ajustement des facettes et la prise du ciment dentaire.
- Prise d'empreintes : Des empreintes dentaires sont réalisées pour fabriquer les facettes sur mesure.
- Avec des facettes pelliculaires, on ne nécessite pas de facettes provisoires si la préparation est minime.
- Placement des facettes définitives : Les facettes pelliculaires sont fixées sur les dents à l'aide d'un adhésif dentaire spécial.
- Finalisation : Les facettes sont ajustées, polies et vérifiées pour s'assurer d'un ajustement précis et d'un résultat esthétique optimal.
Matériaux utilisés pour les facettes pelliculaires
Les facettes pelliculaires peuvent être fabriquées à partir de différents matériaux, notamment :
- Céramique : Les facettes en céramique offrent une excellente esthétique et une résistance élevée. Elles imitent de près l'apparence naturelle des dents.
- Porcelaine : Les facettes en porcelaine sont également très esthétiques et offrent une excellente durabilité. Elles sont connues pour leur résistance aux taches.
- Composite : Les facettes en composite sont fabriquées à partir de résine composite et sont moins coûteuses que les autres options. Cependant, elles peuvent être moins durables et moins résistantes aux taches.
Marques de matériaux utilisés pour les facettes pelliculaires
Plusieurs marques sont réputées pour la fabrication de matériaux de qualité pour les facettes pelliculaires. Parmi les marques populaires, on peut citer :
- VITA Zahnfabrik
- Ivoclar Vivadent (Emax)
- Lumineers
- Dentsply Sirona
Caractéristiques des facettes pelliculaires :
- Revêtement mince en céramique ou en composite
- Ne nécessitent pas de taille des dents ou une taille minimale
- Adhèrent directement à la surface des dents
- Peuvent être réversibles et retirées si nécessaire
- Offrent une option moins invasive pour améliorer l'esthétique dentaire
Les facettes pelliculaires Lumineers
Les facettes pelliculaires Lumineers sont une marque spécifique de facettes dentaires en porcelaine ultra-mince. Elles sont fabriquées par DenMat Holdings LLC, une entreprise spécialisée dans les produits dentaires esthétiques de haute qualité.
Avantages des facettes pelliculaires Lumineers
Les facettes pelliculaires Lumineers offrent de nombreux avantages, notamment :
- Conception ultra-mince : Les facettes Lumineers sont extrêmement fines, ce qui nécessite peu ou pas d'émail dentaire à retirer avant la pose.
- Procédure non invasive : En raison de leur conception ultra-mince, les facettes Lumineers permettent une procédure plus conservatrice et moins invasive, préservant ainsi davantage la structure naturelle des dents.
- Résultats esthétiques naturels : Les facettes Lumineers sont réputées pour leur apparence naturelle et translucide, imitant de près l'apparence des dents naturelles.
- Résistance aux taches : Les facettes Lumineers sont résistantes aux taches et conservent leur éclat et leur couleur au fil du temps.
- Facilité de pose : La pose des facettes Lumineers est souvent plus rapide et plus simple que d'autres types de facettes, réduisant ainsi le temps passé au cabinet dentaire.
La pose des facettes pelliculaires
La pose des facettes dentaires peut être réalisée en une ou deux séances, en fonction de la complexité de votre cas. Chaque séance dure généralement entre une et deux heures, selon le nombre de facettes à poser.
Avantages des facettes pelliculaires
Les facettes pelliculaires offrent de nombreux avantages esthétiques, notamment :
- Un sourire parfait
- Amélioration de la couleur des dents
- Correction des dents tachées, ébréchées ou usées
- Correction des espaces entre les dents
- Correction des dents mal alignées ou malformées
- Renforcement des dents faibles
Inconvénients des facettes pelliculaires
Malgré leurs nombreux avantages, les facettes pelliculaires présentent également quelques inconvénients potentiels :
- Sensibilité dentaire : Dans certains cas, la pose des facettes pelliculaires peut provoquer une sensibilité dentaire temporaire, notamment à chaud, au froid ou aux aliments sucrés.
- Irréversibilité : Cette notion est patient dépendante.
- Coût : Les facettes pelliculaires peuvent être plus coûteuses que d'autres traitements dentaires esthétiques en raison de leur conception personnalisée et de leur qualité supérieure.
- Contraintes de restauration : Les dents avec des facettes pelliculaires nécessitent une attention et un entretien particuliers. Certaines habitudes alimentaires ou comportements, tels que mordre des objets durs ou grincer des dents, peuvent endommager les facettes. Les facettes pelliculaires sont ultra-fines, et donc plus fragiles.
Inconvénients spécifiques des facettes Lumineers
En ce qui concerne les facettes pelliculaires Lumineers, il est important de prendre en compte certains aspects :
- Épaisseur limitée : Bien que les facettes Lumineers soient ultra-minces, elles peuvent être légèrement plus épaisses que d'autres types de facettes pelliculaires. Cela peut être un inconvénient pour certains patients recherchant une épaisseur minimale.
- Limitations esthétiques : En raison de leur conception ultra-mince, les facettes Lumineers peuvent avoir des limitations esthétiques dans certains cas, notamment pour corriger des problèmes dentaires plus graves ou des malpositions sévères.
Il est important de consulter un professionnel
Il est essentiel de consulter un dentiste qualifié et expérimenté pour évaluer votre cas spécifique, discuter des avantages et des inconvénients des facettes pelliculaires, et prendre une décision éclairée sur le traitement qui convient le mieux à vos besoins dentaires et esthétiques.
Résultats et entretien sur le long terme
Les facettes dentaires, qu'il s'agisse de facettes emax ou de facettes pelliculaires, offrent des résultats esthétiques exceptionnels, donnant l'apparence de dents naturelles et harmonieuses. Elles sont résistantes aux taches et conservent leur éclat pendant de nombreuses années avec un entretien approprié.
Pour préserver l'apparence et la durabilité de vos facettes dentaires, il est essentiel de maintenir une bonne hygiène bucco-dentaire en vous brossant les dents régulièrement, en utilisant du fil dentaire et en effectuant des visites régulières chez votre dentiste.
Convalescence après des facettes pelliculaires
La convalescence après la pose des facettes dentaires est généralement rapide. Vous pourrez reprendre vos activités normales dès la fin de l'intervention. Cependant, il est recommandé d'éviter de consommer des aliments durs ou collants qui pourraient endommager les facettes nouvellement posées.
FAQ
Pack 20 Facettes
Tarifs
A propos
Les packs de 20 facettes dentaires, comprenant 10 facettes pour les dents supérieures et 10 pour les dents inférieures, sont conçus pour vous offrir un sourire complet et naturel, allant jusqu'aux prémolaires.
Ce type de pack demandent généralement entre 5 et 10 jours sur place suivant les cliniques et laboratoires.
FAQ
Pack 16 Facettes
Tarifs
A propos
Ce type de pack demandent généralement entre 5 et 10 jours sur place suivant les cliniques et laboratoires.
FAQ
Pack 8 Facettes
Tarifs
A propos
Les packs de 8 facettes dentaires, comprenant 4 facettes pour les dents supérieures et 4 pour les dents inférieures.
Ce type de pack demandent généralement entre 5 et 10 jours sur place suivant les cliniques et laboratoires.
FAQ
Résultats Avant / Après







