

Swiss dental
SWISS DENTAL a ouvert sa polyclinique à Zagreb et a offert une combinaison idéale de services dentaires de haut niveau et d'une ville qui vous permet de profiter de sa station balnéaire, de la belle nature et de nombreux événements culturels et de divertissements. Il est de fait que tous ceux qui recherchent des vacances agréables dans notre région ne seront pas privés d'hébergements de qualité.
Strong points
Languages
![]()
![]()
Currencies
EUR
Rating
Swiss dental
Située au cœur du golfe de Kvarner, Rijeka attire de nombreux visiteurs par sa beauté, son climat doux et ses excellentes liaisons de transport. Dans son voisinage immédiat se trouve la célèbre Riviera d'Opatija, l'une des régions touristiques croates les plus anciennes et les plus élitistes. Sans oublier l’le de KRK et la proximité de L’Italie avec son incontournable ville de Venise .
La polyclinique a conclu une coopération commerciale avec plusieurs hôtels de notre région, où tous nos patients peuvent obtenir des prix spéciaux pour les services d'hébergement afin de rendre votre séjour à SWISS DENTAL et dans notre région encore plus agréable.
La Croatie affiche également des prix nettement plus attractifs pour les services dentaires par rapport à la France ou ses pays limitrophes.
La qualité et la fiabilité de SWISS DENTAL sont reconnues chaque jour par de plus en plus de patients européens. Les Dentistes croates sont connus depuis longtemps pour leurs qualités de travail et leur expertise, et ne sont en aucun cas à la traîne quand aux tendances dentaires mondiales modernes. Une équipe de 2 médecins, spécialistes, assistantes dentaires et prothésistes dentaires offre tous les services de la dentisterie moderne. Dès le début, la mission de la Polyclinique SWISS DENTAL a été de redonner le sourire aux visages des patients. Avec notre équipement moderne et une équipe d'experts en pleine croissance, nous offrons un service dentaire complet en ligne avec les tendances mondiales. Nos investissements continus dans les connaissances, l'innovation et le développement ont été reconnus, nous sommes donc devenus l'une des principales polycliniques dentaires privées de la région à partir d'un bureau avec seulement quelques employés à Rijeka.
Clinic Pictures
18







Reviews
Loading reviews...
Dr Damir ANTONCIC

Dr Zrinka ANTONCIC

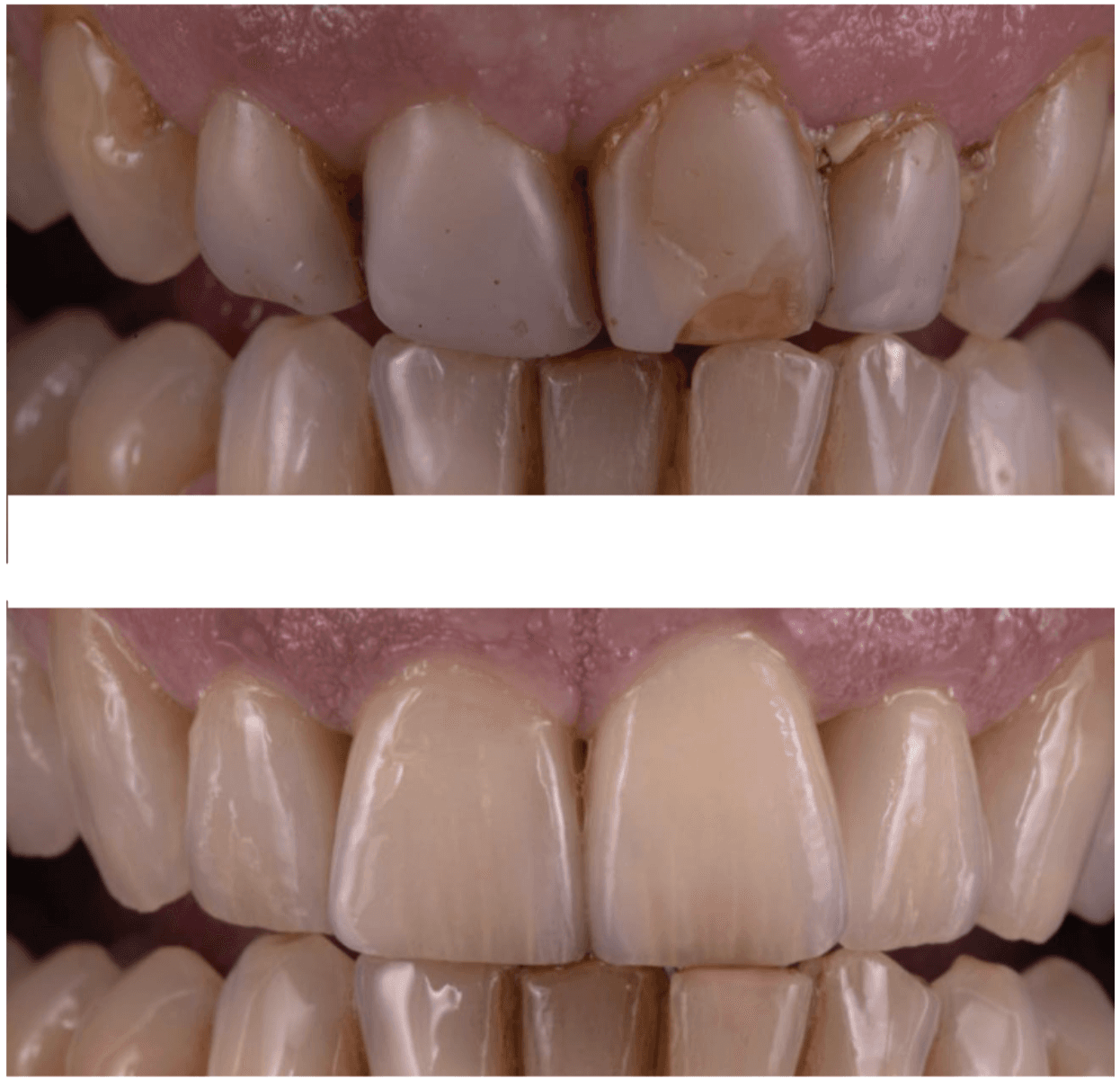
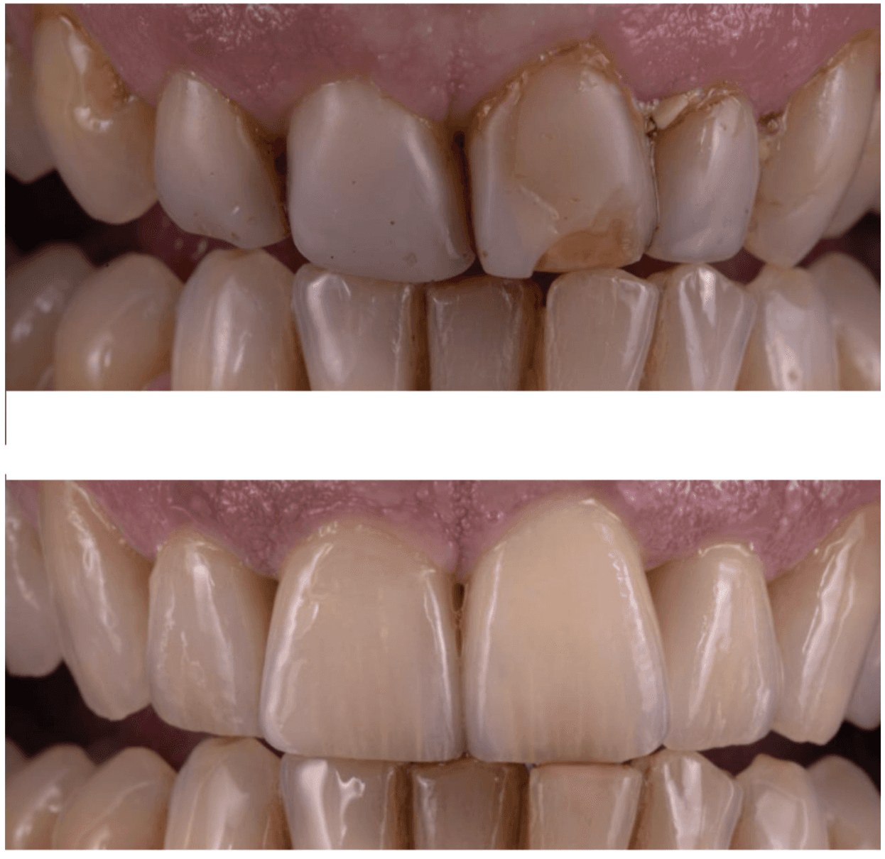
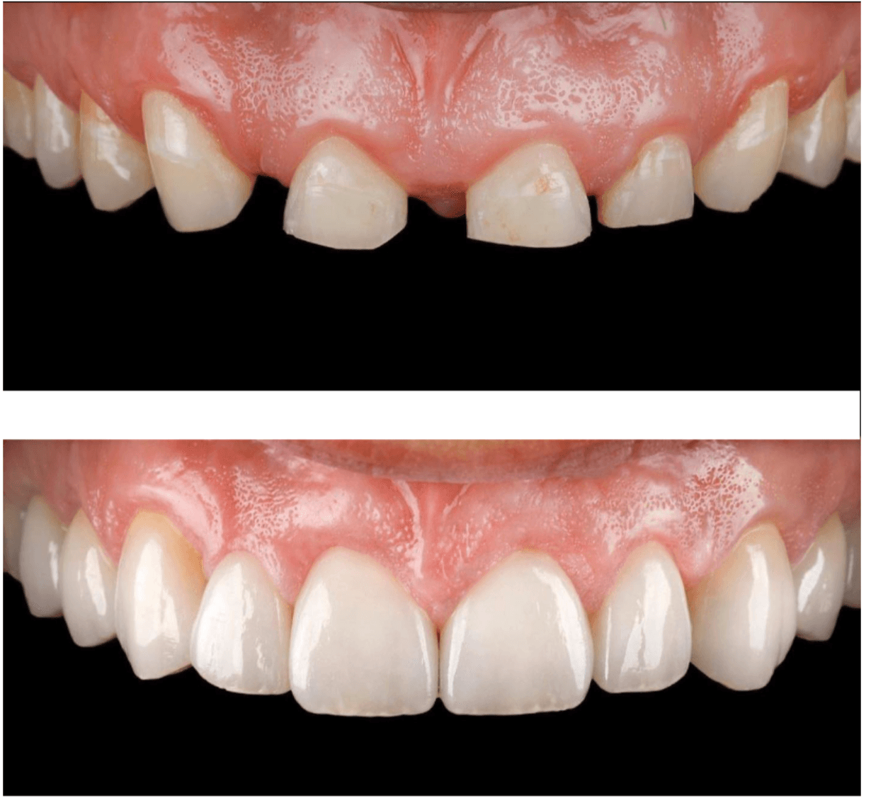
Before / After Results
7Dental Veneers

Dental crowns



Zirconium crowns


