
Ultimadent
UltimaDent is a dental clinic uniquely specializing in implantology and cosmetic dentistry, located in İzmir, Turkey. Three dentists co-found the clinic, so your dentist will always be here to continue your treatment no matter what or when.
★Strong points
- Digital dentistry
- Boutique approach
- Guarantee conditions
- Smile design
★Strong points
- Digital dentistry
- Boutique approach
- Guarantee conditions
- Smile design
About
Our Philosophy
UltimaDent is aiming to maximize the success of treatment and the patient’s comfort with advanced technology diagnosis and treatment methods. At Ultima Dent, we understand that trust is a crucial factor when it comes to choosing a dental clinic. Here are a few reasons why we believe you can trust us with your dental care:
- Experience: We have helped countless patients achieve healthy, beautiful smiles over the years and are committed to continuing to provide the same procedure.
- Personalized Care: We believe every patient is unique and deserves personalized care tailored to their needs. That's why we take the time to get to know each of our patients and develop customized treatments that address their specific concerns and goals.
- State-of-the-Art Technology: We are constantly investing in the latest dental technology and techniques to ensure our patients receive the most advanced and effective care possible. From 3D scans to digital imprinting, we use cutting-edge tools and equipment to provide the best possible results.
- Patient Satisfaction: Our ultimate goal is always to ensure that our patients are completely satisfied with their experience at UltimaDent. We strive to create a welcoming and comfortable environment where our patients feel at ease, and we are always happy to address any concerns or questions.
- Comprehensive On-Site Laboratory: The clinic has established a close partnership with one of the premier laboratories in Izmir, conveniently located on-site. This collaboration allows for seamless communication, precise customization, efficient time management, and stringent quality control measures. By leveraging advanced technological equipment, the laboratory ensures the utmost precision in creating prosthetic restorations while maintaining uncompromising hygiene standards.
- Utilization of Premium Materials and Trusted Brands: The team exclusively collaborates with leading implant brands renowned for their exceptional quality and reliability. This commitment guarantees that your final prosthesis not only exhibits aesthetic excellence but also exhibits remarkable longevity. Through our association with the on-site laboratory, we ensure that your All- on-4 treatment employs top-quality materials and esteemed brands, providing you with a prosthesis that is not only visually pleasing but also robust and enduring.
- Exemplary Hygiene Protocols: Both the clinic and the on-site laboratory strictly adhere to rigorous hygiene standards. The team maintains a pristine and sanitized environment, meticulously following sterilization protocols to safeguard your safety and well-being throughout your treatment journey.
We prioritize the use of the latest technology, such as CBCT imaging, intraoral scanners, advanced dentistry software, digital smile design planning and digitally guided surgeries. These cutting-edge tools enable us to increase the success of treatments.
How do we apply our dentistry?
1. The most appropriate and the healthiest way of treatment for the patient is determined at the initial consultation.
2. Our dentist prepares the basis of intraoral treatment which will be provided at the designated appointment date.
3. During the visit, intraoral visuals are transferred into 3D digital world in details using the optical camera.
4. Thanks to digital virtual measurements, the healthiest and the most suitable model is prepared with the help of 3D printers in a laboratory.
5. In the next visit our specialist finalizes the intraoral control of the model by taking the patient’s opinions into consideration.
UltimaDent is aiming to maximize the success of treatment and the patient’s comfort with advanced technology diagnosis and treatment methods.
The Influence of Digital World in Dentistry
- NO FEELING OF NAUSEA – DENTAL IMPRESSION PROCESS: It provides comfort by sweeping the feeling of nausea away during traditional dental impression.
- GAINING TIME – SINGLE SESSION
- NATURAL LOOK – COLOR MATCH
- SUPPORT FOR SURGERY – IMPLANT
- ORTHODONTIC TREATMENT – INVISALIGN
- SEEING THE RESULT BEFORE WE START – SMILE DESIGN
About UltimaDent
UltimaDent is a dental clinic uniquely specializing in implantology and cosmetic dentistry, located in İzmir, Turkey. Three dentists co-found the clinic, so your dentist will always be here to continue your treatment no matter what or when. UltimaDent accepts 1,350 patients annually, allowing us to maintain a boutique approach. Patients from Switzerland, the USA, Canada, Germany, France, the UK, and Western Europe are coming to our clinic.
Clinic Pictures
7






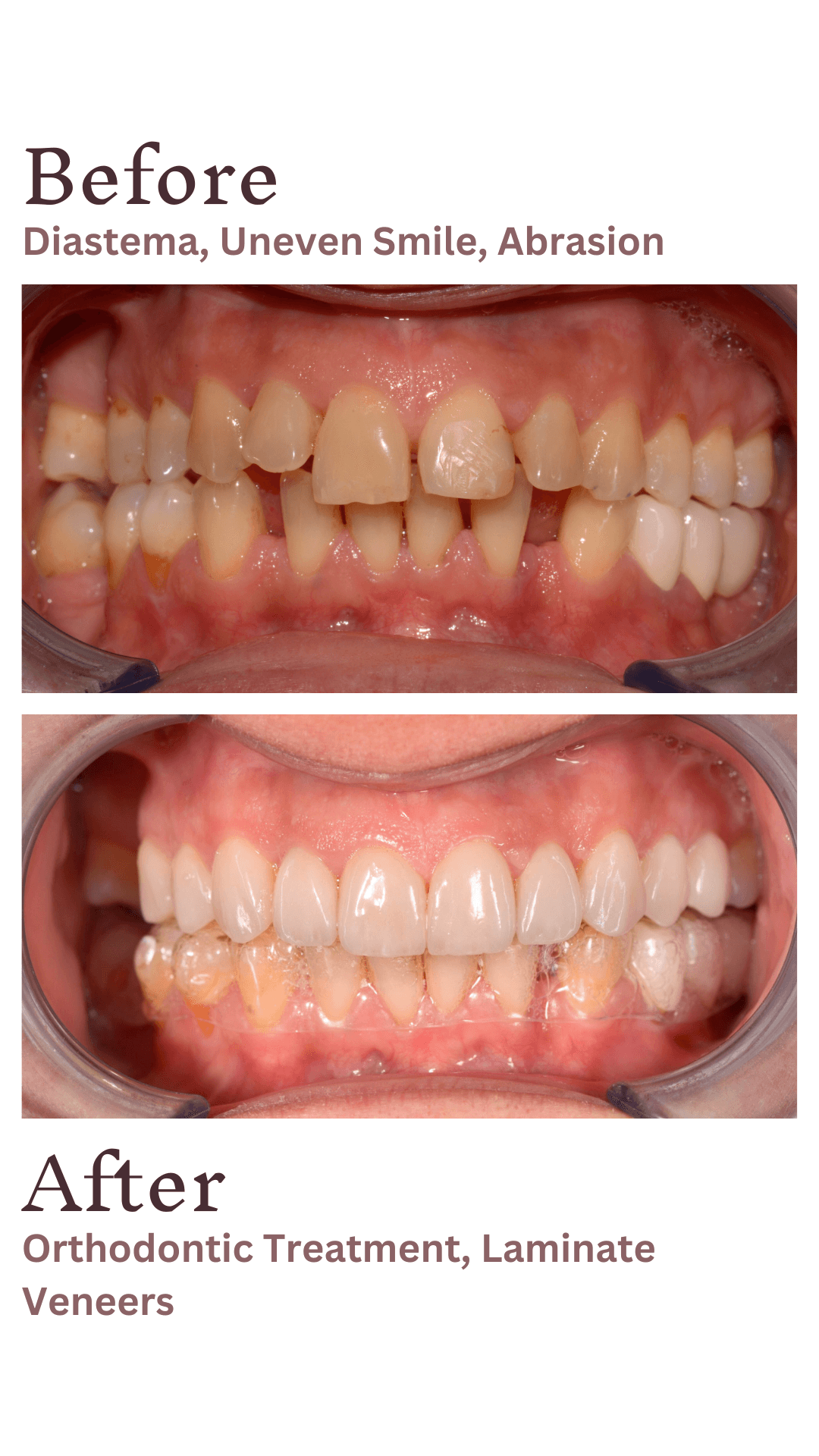
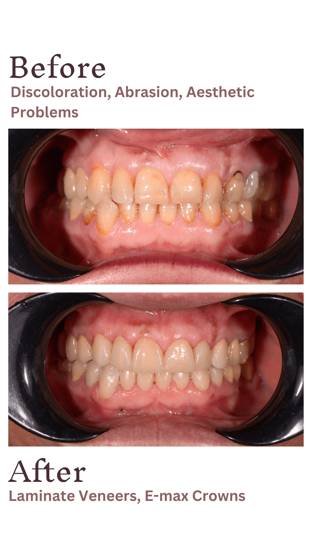
Before / After Results
Découvrez les transformations de nos patients
Dental Veneers
(8)







Zirconium crowns
(4)



Straumann Dental Implant
(5)




