
Dental implants abroad, the best destinations at the best prices to have your dental implants placed. The definition of dental implants, the different existing methods, reputable countries for dental implants, major international implant brands, specific indications, the procedure process, anesthesia options, duration of the intervention, success statistics, and risks associated with dental implant placement.
Dental implants details
Dental implants
Prices
About
The function of a tooth root is to anchor the tooth in the bone. A dental implant replaces the root of a tooth and is placed in the upper or lower jawbone. It serves as a support for the prosthesis placed on top of it.
Functioning of the Implant
They are inserted into the jawbone to replace the missing tooth root. After a short period, the bone fuses with the dental implant. This process is called osseointegration. A dental prosthesis can then be attached to the implant. To explain an implant simply, it can be compared to a wall anchor. The hollow anchor allows a screw to be attached to the wall. The same principle applies to a dental implant.
What is a Dental Implant?
Dental implants are titanium or zirconia devices surgically inserted into the jawbone to replace a missing tooth root. They provide a solid foundation for fixing dental prostheses such as crowns, bridges, or dentures.
Titanium is a bio-compatible material that is better accepted by the body and reduces the risk of rejection.
The placement of a dental implant requires a screw and an abutment.
These elements are at the core of the implant system and bridge the gap between the crown and the bone.
The time required for dental implants abroad is the same regardless of the country. An implant can be placed in a few minutes but requires a lot of preparation prior to the procedure.
Placement of an Implant Abroad
A first trip of 2 to 4 days maximum is sufficient to perform the scan and the placement of 1 or multiple implants.
Implant Osseointegration and Healing
You then return to your country to wait for complete osseointegration. The exact time will be indicated by the dentist (generally between 3 to 6 months). If appropriate, a temporary fixed prosthesis (in some cases) or removable prosthesis is provided in the meantime. Certain cases of simple reconstruction can even benefit from immediate loading, where a temporary crown is placed.
Once the implant is placed, it needs to be left in the bone for the duration of osseointegration. During this process, the bone heals around the implant and encapsulates it as the body does not recognize it as a foreign object. Due to osseointegration, the placement of a complete implant with its crown requires two separate appointments spaced several months apart.
Placement of the Abutment and Crown
A second trip is made for the placement of the abutment (the visible part of the implant) and the fabrication and placement of the crown. The second trip usually takes 5 to 8 working days, depending on the number and material used (zirconia, emax, ceramic-metallic) for fabricating the dental crowns.
Reputable Countries for Dental Implants:
Some countries are renowned for their expertise in dental implants, including:
- Turkey
- Hungary
- Croatia
- Albania
- Thailand
- Romania
Major International Implant Brands:
Here are some of the major international dental implant brands:
- Nobel Biocare
- Alpha Bio
- Straumann
- Zimmer
- Dio
- ICX
When do you use a Dental Implant ?
An implant is placed to replace a root. It is used when the natural root is unusable for placing a crown or when it is missing altogether. The implant can be used to replace a single tooth or serve as a bridge pillar.
Anesthesia for a dental Implant
During dental implant placement, different anesthesia options can be offered, such as:
- Local anesthesia
- Conscious sedation
- General anesthesia
How long is a Dental implant procedure ?
The duration of the dental implant placement procedure can vary depending on the number of implants and the complexity of the case. Generally, it can take a few hours to several months to complete the entire process, including the healing period.
Success Statistics and Associated Risks
Dental implants have a high success rate, typically exceeding 95%. However, like any surgical procedure, there are risks associated with it, such as infection, temporary discomfort, bleeding, and the possibility of implant failure. It is essential to follow post-operative instructions and maintain good oral hygiene to maximize the chances of success and reduce risks. Tobacco use is generally recognized as a risk factor for actual implant failure.
Recovery after dental implants
Swelling of the gums may occur for a few days after the placement of one or more dental implants. Sutures may be used to close the gums, and in most cases, the sutures are absorbable. Return to work can be done as early as the day after the procedure.
FAQ
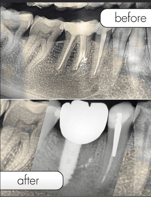
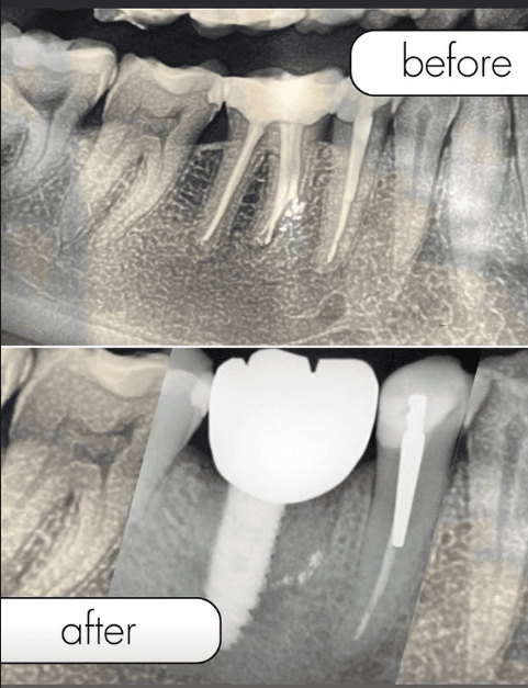
Before / After Results
Discover our patients transformations


.jpeg&w=1920&q=75)



.png&w=1920&q=75)



.jpeg&w=1920&q=75)
.jpeg&w=1920&q=75)




.jpeg&w=1920&q=75)




.jpeg&w=1920&q=75)

.jpeg&w=1920&q=75)
.jpeg&w=1920&q=75)
.jpeg&w=1920&q=75)
.png&w=1920&q=75)
.png&w=1920&q=75)
.jpg&w=1920&q=75)




Alpha Bio Dental Implants
Prices
About
History of Alpha Bio implants
Alpha Bio dental implants are manufactured by Alpha-Bio Tec, a company specializing in the design and production of dental implant solutions. Founded in 1988, Alpha-Bio Tec is based in Israel and has become one of the leading manufacturers of dental implants in the world.
Origin of Alpha Bio implants
Alpha Bio implants are manufactured in Israel, where Alpha-Bio Tec has a state-of-the-art production facility. The company places great importance on the quality of its products and follows strict manufacturing standards to ensure reliable and long-lasting results.
Alpha Bio implant success statistics
Alpha Bio dental implants have an excellent reputation for clinical success. According to studies and data collected, the success statistics of Alpha Bio implants are usually between 95% and 98%. These figures testify to the effectiveness and reliability of Alpha Bio implants for the restoration of missing teeth.
FAQ
Nobel Dental implants
Prices
CountriesFromCliniques Actions Turkey
550 € 9 View About
The range of Nobel Biocare implants
Nobel Biocare offers a wide range of dental implants, suitable for different clinical cases and specific needs. Their products include tapered implants, active thread implants, short implants, implants for aesthetic areas, and much more. This diversity of choice allows dental professionals to find the best solution for each patient.
History of the Branemark Patent
The history of Nobel Biocare dental implants dates back to the famous Branemark patent. Dr. Per-Ingvar Branemark, a Swedish researcher, discovered in the 1950s that bone could fuse naturally with titanium. This discovery led to the development of the first titanium dental implants, thus laying the foundations of modern implantology.
The Branemark patent paved the way for major advances in the field of dental implants and enabled Nobel Biocare to become one of the major players in the industry. Today, Nobel Biocare implants are widely used around the world, providing reliable and esthetic solutions for the restoration of missing teeth.
Lifetime and guarantees of Nobel Biocare implants
Nobel Biocare dental implants are renowned for their durability. In general, the lifespan of a Nobel Biocare implant can vary depending on many factors, such as the patient's oral hygiene, regular dental visits and other lifestyle habits. However, with proper care, Nobel Biocare implants can last for many years, even a lifetime.
Nobel Biocare implant warranties
Nobel Biocare offers guarantees on its dental implants. The exact details of warranties may vary depending on the type of implant and the specific warranty policy of each country or clinic. It is recommended to consult the healthcare professional or dental clinic directly for the exact information on the guarantees associated with Nobel Biocare implants.
Nobel Biocare implant success statistics
Nobel Biocare dental implants have demonstrated high rates of long-term success. According to several clinical studies and years of practical experience, success statistics for Nobel Biocare implants average over 95%. This speaks to the effectiveness and reliability of these implants in restoring dental function and aesthetics.
FAQ
Straumann Dental Implant
Prices
About
FAQ
Bego dental implants
Prices
CountriesFromCliniques Actions Turkey
390 € 3 View About
Bego implants are manufactured by BEGO Implant Systems GmbH & Co. KG, a German company with a long history in the dental field. They are known for their quality and durability, backed by over 130 years of engineering and innovation. For more details on Bego implants, you can visit their official website: BEGO Implant Systems.
FAQ
Before / After Results


.jpeg&w=1920&q=75)



.png&w=1920&q=75)
